找回密码
 注册

持续性苗勒氏管综合征

作者:大江 | 时间:2026-1-14 21:00:11 | 阅读:80| 显示全部楼层
临床表现

隐睾。

患者资料

年龄:20岁

性别:男

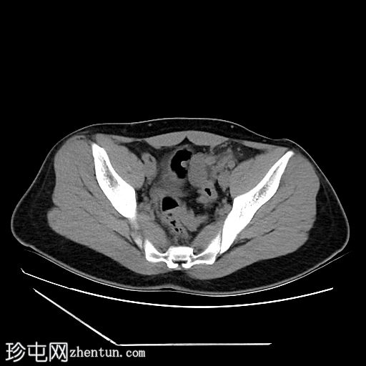
CT
轴位

平扫
1.jpg
轴位增强扫描

动脉期
2.jpg
矢状位增强扫描

动脉期
3.jpg
冠状位增强扫描

动脉期
4.jpg
轴位增强扫描

门静脉期
5.jpg
轴位

静脉期
6.jpg
阴茎:发育良好。阴茎海绵体和尿道海绵体均存在。

阴囊:双侧均存在,但空虚。

左侧腹股沟深环可见一裂隙,大网膜脂肪由此突出至左侧阴囊。裂隙大小约20毫米。

盆腔左侧可见一形态良好的子宫样结构(57 x 17毫米),开口于前列腺尿道。

右侧睾丸位于盆腔右侧,膀胱与直肠之间。大小:56 x 29 毫米。

左侧睾丸位于盆腔中线左侧,膀胱上方,子宫底旁。该结构附着于从左侧腹股沟管延伸出的索状结构上。大小:38 x 22 毫米。

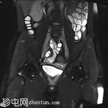
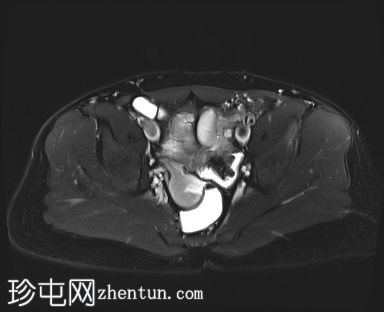
MRI
7.jpg
轴位

STIR
8.jpg
矢状位

T2
9.jpg
冠状位

STIR

MRI图像显示子宫和睾丸。子宫内膜腔开口于前列腺尿道。

病例讨论

患者有双侧隐睾病史。CT和MRI图像显示发育良好的子宫和两个睾丸,均位于盆腔内。子宫内膜腔开口于前列腺尿道。

该患者表型为男性,阴茎发育良好。精液分析显示无精子症。结合影像学检查结果,最可能的诊断是持续性苗勒氏管综合征。这是一种男性假两性畸形,由子宫内抗苗勒氏管激素(AMH)分泌不足引起。AMH或其信号通路的缺乏导致苗勒氏管衍生结构的持续发育。

可通过核型分析(46XY)或盆腔性腺活检证实睾丸组织的存在来确诊。
您需要登录后才可以回帖 登录 | 注册
Copyright © 2011-2026 东莞市珍屯医疗科技有限公司Powered by zhentun.com
返回顶部