找回密码
 注册

肾盂输尿管炎

作者:大江 | 时间:2026-1-16 21:00:00 | 阅读:77| 显示全部楼层
病情介绍

患者主诉左侧腹痛2天,并伴有主观发热。

患者资料

年龄:35岁

性别:女

CT
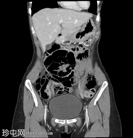
冠状位增强扫描(门静脉期)
1.jpg
轴位增强扫描(门静脉期)
2.png
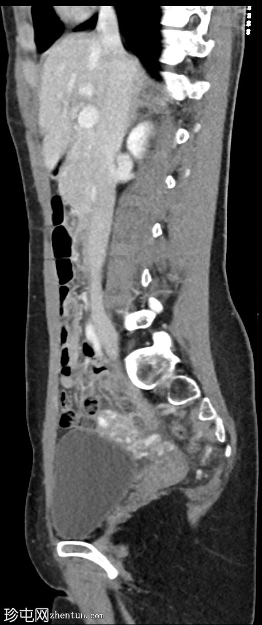
矢状位增强扫描(门静脉期)
3.jpg
左肾肾盂肾盏系统及左侧输尿管,管壁环周增厚及强化,符合肾盂输尿管炎的影像学表现

左肾实质强化正常,无肾周脂肪浸润

膀胱充盈良好,无管壁增厚或周围脂肪浸润

无尿路结石

偶然发现肠系膜有一2.2 x 4 x 3.2 cm大小的边界清晰的均匀脂肪密度病变,符合肠系膜脂肪瘤的影像学表现

左侧卵巢静脉明显

病例讨论

肾盂输尿管炎是指肾盂(肾盂炎)和输尿管(输尿管炎)的炎症。通常由上行性尿路感染引起。增强CT扫描显示,肾盂和输尿管壁增厚并伴有壁强化(1)。

该患者的尿液分析显示白细胞酯酶阳性,尿培养结果显示大肠杆菌生长。值得注意的是,患者没有出现泌尿系统局部症状(例如排尿困难),且CT扫描未见膀胱炎表现。
您需要登录后才可以回帖 登录 | 注册
Copyright © 2011-2026 东莞市珍屯医疗科技有限公司Powered by zhentun.com
返回顶部