首页
Portal
订阅
产品资料
医疗器械
外科训练
医学论坛
BBS
关于我们
联系我们
登录
立即登录
立即注册
其他登录
QQ
微信
搜索
搜索
本版
文章
帖子
用户
本版
文章
帖子
用户
首页
Portal
订阅
产品资料
医疗器械
外科训练
医学论坛
BBS
关于我们
联系我们
账号
自动登录
找回密码
密码
登录
注册
外科
内科
第三
第四
中医
辅助
执业
教育
专区
好友
帖子
收藏
淘帖
分享
记录
留言板
门户
导读
排行榜
设置
我的收藏
退出
珍屯医学
»
医学论坛
›
外科
›
骨科四肢脊柱手外
›
钙化性肌腱炎 - 冈上肌
返回列表
钙化性肌腱炎 - 冈上肌
[复制链接]
作者:
大江
|
时间:
2025-12-23 11:00:08
|
阅读:94
|
显示全部楼层
临床表现
肩外展时
疼痛
加剧。
患者资料
年龄:50岁
性别:女
X线片
肩袖钙化,位于冈上肌腱肱骨止点处。
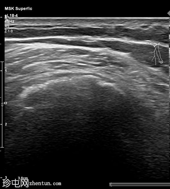
超声
横断面
侧位面
冈上肌腱可见弧形声反射,边缘呈分叶状,远端声影逐渐加重,符合钙化表现。
病例讨论
典型的钙化性肌腱炎超声和X线表现。肩袖是最常受累的部位,冈上肌腱受累的病例占80%,本例亦是如此。
回复
举报
返回列表
发表新帖
高级模式
B
Color
Image
Link
Quote
Code
Smilies
您需要登录后才可以回帖
登录
|
注册
大江
关注Ta
主题 17556
帖子 16642
积分 42140
此人很懒,什么也没留下。
•
轻松订阅最新动态(简易法)
•
珍屯网“股份”积分策略
•
会员注册规则说明——试行
•
您看好“外资独资办医”吗?欢迎大家投票和讨论
•
为各位医友推荐些好书!可代购
•
无排卵
•
《简明体格检查图解》┊陈清兰,郑智远编著.PDF
•
全国实践技能考试准考证打印一览表
阅读作者更多精彩帖子
热门问答
更多>
0
三角骨骨折
58人围观, 发布于2026-01-30
0
腰骶移行椎(Castellvi 2b 型)
64人围观, 发布于2026-01-31
0
Hill-Sachs 缺陷伴 Bankart 病变
57人围观, 发布于2026-02-01
0
Lisfranc损伤
56人围观, 发布于2026-02-02