首页
Portal
订阅
产品资料
医疗器械
外科训练
医学论坛
BBS
关于我们
联系我们
登录
立即登录
立即注册
其他登录
QQ
微信
搜索
搜索
本版
文章
帖子
用户
本版
文章
帖子
用户
首页
Portal
订阅
产品资料
医疗器械
外科训练
医学论坛
BBS
关于我们
联系我们
账号
自动登录
找回密码
密码
登录
注册
外科
内科
第三
第四
中医
辅助
执业
教育
专区
好友
帖子
收藏
淘帖
分享
记录
留言板
门户
导读
排行榜
设置
我的收藏
退出
珍屯医学
»
医学论坛
›
外科
›
骨科四肢脊柱手外
›
冈上肌腱边缘撕裂
返回列表
冈上肌腱边缘撕裂
[复制链接]
作者:
大江
|
时间:
2025-12-28 11:00:01
|
阅读:88
|
显示全部楼层
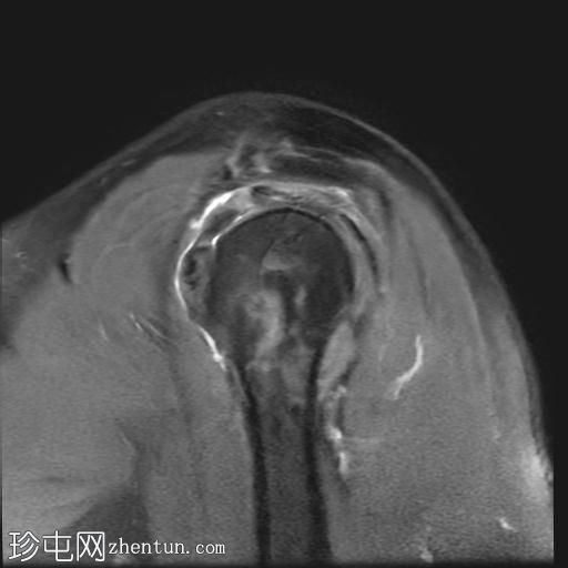
主诉
右肩剧烈
疼痛
。
患者资料
年龄:45岁
性别:男
MRI
冠状位PD序列
脂肪抑制序列
矢状位PD序列
脂肪抑制序列
轴位PD序列
脂肪抑制序列
冠状位
T2加权像
冠状位
T1加权像
冈上肌腱关节面中前部纤维可见部分撕裂(边缘撕裂),伴局部骨髓水肿。
冈上肌腱关键区纤维以及冈下肌腱均可见肌腱病。
肩锁关节周围可见轻度关节囊肥厚和退行性改变。
此外,肩峰下滑囊内可见积液。
病例讨论
MRI 检查结果符合冈上肌腱的典型边缘撕裂,也称为部分关节面肌腱撕脱。
回复
举报
返回列表
发表新帖
高级模式
B
Color
Image
Link
Quote
Code
Smilies
您需要登录后才可以回帖
登录
|
注册
大江
关注Ta
主题 17556
帖子 16642
积分 42140
此人很懒,什么也没留下。
•
轻松订阅最新动态(简易法)
•
珍屯网“股份”积分策略
•
会员注册规则说明——试行
•
您看好“外资独资办医”吗?欢迎大家投票和讨论
•
为各位医友推荐些好书!可代购
•
无排卵
•
《简明体格检查图解》┊陈清兰,郑智远编著.PDF
•
全国实践技能考试准考证打印一览表
阅读作者更多精彩帖子
热门问答
更多>
0
三角骨骨折
58人围观, 发布于2026-01-30
0
腰骶移行椎(Castellvi 2b 型)
64人围观, 发布于2026-01-31
0
Hill-Sachs 缺陷伴 Bankart 病变
57人围观, 发布于2026-02-01
0
Lisfranc损伤
56人围观, 发布于2026-02-02