找回密码
 注册

CT引导下骨活检 - 股骨干

作者:大江 | 时间:2025-12-31 11:00:00 | 阅读:77| 显示全部楼层
病例介绍

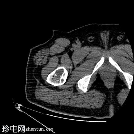
患者右股骨近端干骺端可见一溶骨性透亮髓内病变,拟行骨活检。

患者资料

年龄:40岁

性别:男

CT
轴位骨窗
1.jpg
轴位
平扫
2.jpg
轴位
平扫
3.jpg
轴位
平扫
4.jpg
轴位
平扫
5.jpg
轴位
平扫
6.jpg
轴位骨窗

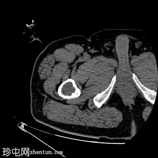
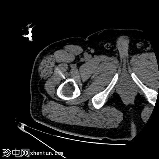
右股骨近端干骺端,股骨大转子下方可见一边界清晰的溶骨性病变。

未见皮质破坏及骨膜反应。

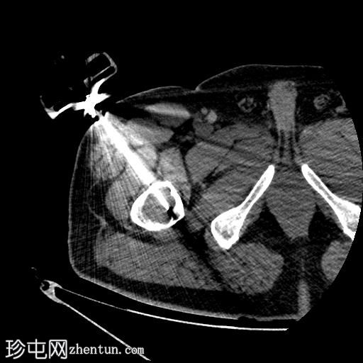
行CT引导下病变穿刺活检,术中及术后均未见并发症。

病例讨论

将活检针置于右股骨近端干骺端溶骨性透亮肿块中心后,从囊性病变中抽取血液。穿刺活检结果为阴性,未见骨髓浸润。因此,囊性病变的血液样本被送检进行组织病理学检查,结果显示无恶性肿瘤

根据CT影像学表现和组织病理学结果,应考虑右股骨干近端良性囊性骨病变。
您需要登录后才可以回帖 登录 | 注册
Copyright © 2011-2026 东莞市珍屯医疗科技有限公司Powered by zhentun.com
返回顶部