找回密码
 注册

阔筋膜张肌损伤

作者:大江 | 时间:2026-1-6 11:00:00 | 阅读:69| 显示全部楼层
临床表现

5天前受伤。右大腿外侧疼痛

患者资料

年龄:45岁

性别:男

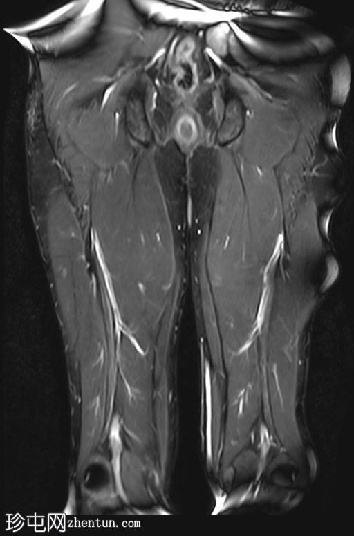
MRI
1.jpg
冠状位

T1加权像
2.jpg
轴位

T1加权像
3.jpg
矢状位

T1加权像
4.jpg
轴位

T1加权像

影像显示右侧阔筋膜张肌(TFL)拉伤,伴有水肿,阔筋膜浅层受累。

右侧缝匠肌也可见轻度拉伤,肌间液在股直肌、缝匠肌和阔筋膜张肌之间流动。

此外,筋膜水肿沿髂胫束向下延伸,髂胫束是一条从髂嵴延伸至胫骨外侧的厚筋膜带。

未见局灶性纤维断裂或肉眼可见的撕裂。未见血肿。

病例讨论

检查结果显示右侧阔筋膜张肌一级拉伤,伴有阔筋膜张肌、缝匠肌和股直肌之间的肌间筋膜水肿,并沿髂胫束向下延伸。同时,缝匠肌也存在一级拉伤。

未见部分撕裂、全层撕裂或血肿,提示休息和指导性物理治疗后预后良好。
您需要登录后才可以回帖 登录 | 注册
Copyright © 2011-2026 东莞市珍屯医疗科技有限公司Powered by zhentun.com
返回顶部