找回密码
 注册

第五跖骨基底部撕脱性骨折

作者:大江 | 时间:2026-1-13 16:00:00 | 阅读:93| 显示全部楼层
病例介绍

跌倒史

患者资料

年龄:40岁

性别:女

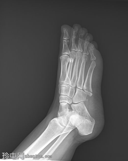
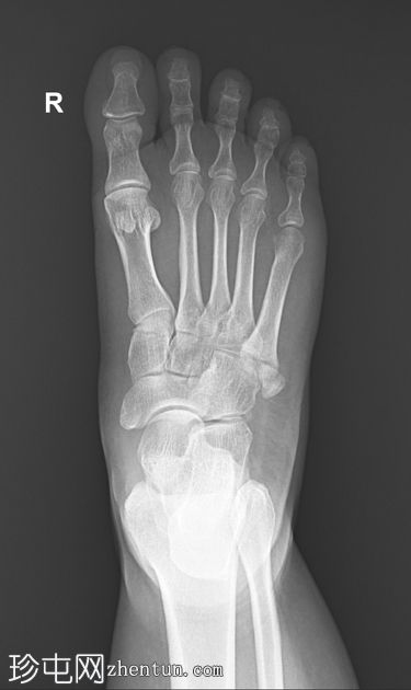
X线片
1.jpeg
正位片
2.jpeg
斜位片

可见第五跖骨基底部粗隆(茎突)骨折。骨折线位于关节外,未延伸至第四至第五跖骨间关节。移位轻微。未见其他急性骨折。偶见腓骨副骨。

病例讨论

假性琼斯骨折是指第五跖骨粗隆的撕脱性骨折,通常位于关节外,与旋后损伤有关。与真正的琼斯骨折的关键区别在于骨折位置:

假性琼斯骨折:位于结节,第四至第五跖骨间关节近端

琼斯骨折:位于干骺端交界处,结节远端,关节内

这种区分非常重要,因为真正的琼斯骨折发生在相对分水岭区域,容易出现延迟愈合或不愈合,而假性琼斯骨折通常愈合良好。

一个常见的误区——本病例中也出现了这种情况——是将结节撕脱性骨折误诊为琼斯骨折;仔细辨别骨折的确切位置有助于避免这种错误。

最好根据骨折的解剖位置来描述骨折。
您需要登录后才可以回帖 登录 | 注册
Copyright © 2011-2026 东莞市珍屯医疗科技有限公司Powered by zhentun.com
返回顶部