找回密码
 注册

髋关节结核性关节炎和股骨骨髓炎

作者:大江 | 时间:2026-1-15 16:00:02 | 阅读:74| 显示全部楼层
临床表现

患者左髋关节长期疼痛、活动受限,且其外侧皮肤可见瘘管。无外伤史。

患者资料

年龄:55岁

性别:女

MRI
轴位

T2加权像
1.jpg
轴位T2加权像
2.jpg
脂肪抑制像
3.jpg
冠状位

T1加权像
4.jpg
冠状位T2加权像
5.jpg
脂肪抑制像
6.jpeg
左髋关节存在严重的关节病变,表现为关节间隙显著变窄、软骨丢失、软骨下骨髓水肿以及囊性改变。

此外,左股骨颈基底部、股骨粗隆间区及股骨大转子区域可见骨髓信号异常及皮质破坏。伴有滑膜增厚及较大的冷脓肿腔,提示左股骨颈及股骨粗隆间区骨髓炎。

另一处较大的冷脓肿从股骨受损部位开始向上延伸至左侧臀肌。

在左侧股骨外侧皮下可见低信号窦道。

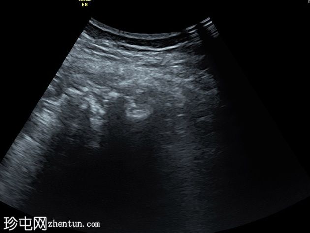
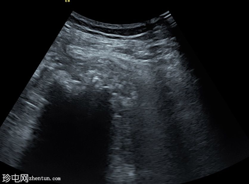
超声
纵切面
纵切面

患者在局部麻醉下接受了超声引导下经左侧股骨受损皮质的活检。

病例讨论

本病例经组织病理学检查确诊为结核病。因此,最终诊断应包括左侧髋关节结核性关节炎,以及左侧股骨颈和股骨粗隆间结核性骨髓炎,并伴有大腿和臀肌内两个冷脓肿的形成。
您需要登录后才可以回帖 登录 | 注册
Copyright © 2011-2026 东莞市珍屯医疗科技有限公司Powered by zhentun.com
返回顶部