找回密码
 注册

掌侧巴顿骨折

作者:大江 | 时间:2026-1-20 16:00:00 | 阅读:113| 显示全部楼层
病例介绍

跌倒时手掌伸展着地

患者资料
年龄:30岁

性别:男

X线片
1.jpg
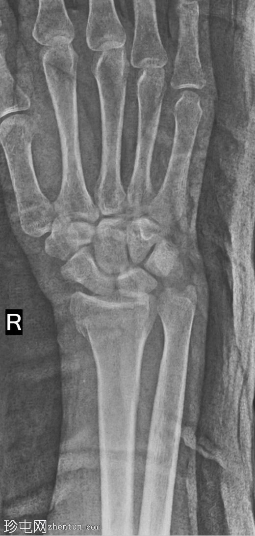
正位片
2.jpg
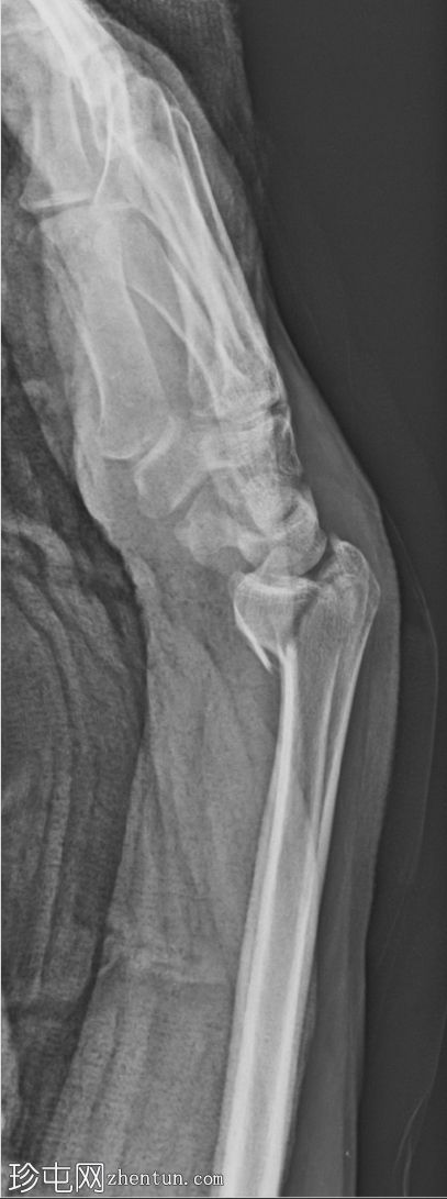
侧位片

正位片

桡骨远端骨折,远端骨折块轻微掌侧移位

正位片未见明显的关节内台阶

侧位片

可见一条锐利的斜形骨折线延伸至桡骨远端掌侧关节缘

侧位片清晰显示关节内延伸

桡腕关节掌侧半脱位

腕骨对位基本保持良好

病例讨论

教学要点

评估关节受累情况时,务必同时评估正位片和侧位片

史密斯骨折 = 关节外骨折;巴顿骨折 = 关节内骨折 + 腕骨半脱位倾向

巴顿骨折本身不稳定,通常需要手术固定以恢复关节的完整性

如果怀疑存在关节凹陷或粉碎性骨折,CT扫描可能有助于术前计划
您需要登录后才可以回帖 登录 | 注册
Copyright © 2011-2026 东莞市珍屯医疗科技有限公司Powered by zhentun.com
返回顶部