找回密码
 注册

桡骨远端骨折

作者:大江 | 时间:2026-1-21 16:00:04 | 阅读:81| 显示全部楼层
就诊情况

跌倒后左腕疼痛并伴有轻微肿胀。

患者资料

年龄:20岁

性别:女

X线片
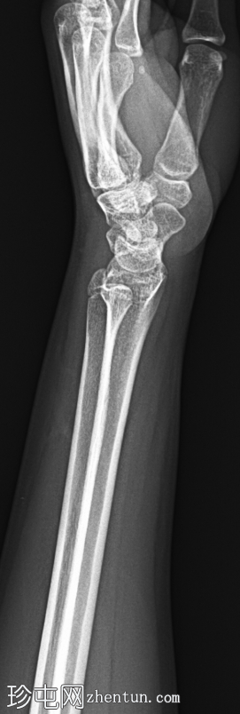
1.png
正位片
2.png
侧位片

左腕正位X线片显示桡骨远端干骺端背外侧皮质轻微弯曲,无皮质破裂或移位。无明显成角畸形或尺骨骨折。关节间隙和腕骨排列正常。

最终诊断:桡骨远端干骺端轻微嵌插(弯曲型)骨折。

病例讨论

虽然弯曲(环状)骨折通常见于儿童,因为儿童骨骼较软,但类似的皮质弯曲也偶见于青少年和成年人,尤其是在轴向负荷损伤后。

本例患者的影像学表现为稳定的嵌插型损伤,具有类似环状骨折的特征。

治疗通常以保守治疗为主,包括短期固定和对症治疗。患者已佩戴骨折石膏;然而,并未安排后续X线检查。

关键学习要点

皮质骨扣状变形在年龄较大的青少年中可能罕见发生

始终应结合损伤机制和疼痛部位进行判断,以避免将正常的干骺端异常误诊为皮质骨扣状变形。
您需要登录后才可以回帖 登录 | 注册
Copyright © 2011-2026 东莞市珍屯医疗科技有限公司Powered by zhentun.com
返回顶部