找回密码
 注册

急性阑尾炎,表现为左髂窝疼痛

作者:大江 | 时间:2026-1-12 11:00:01 | 阅读:75| 显示全部楼层
就诊情况

患者因左髂窝疼痛、呕吐和发热就诊于急诊科。

患者资料

年龄:8岁

性别:男

CT
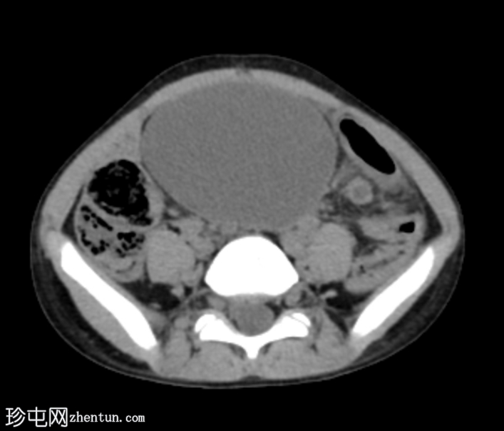
1.png
轴位
平扫
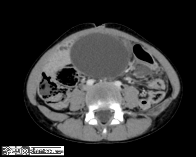
2.png
轴位增强扫描(门静脉期)
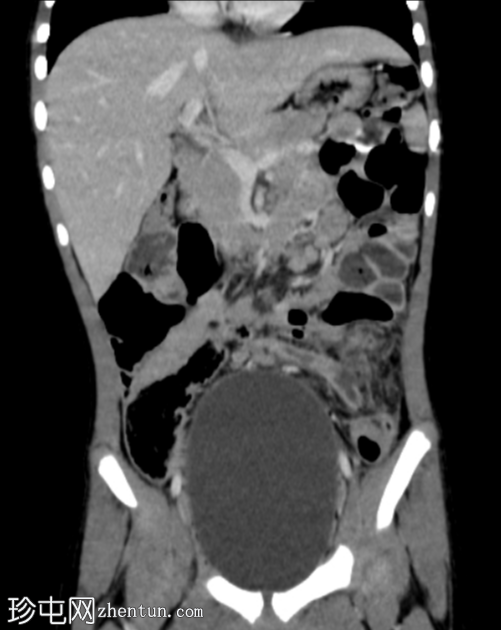
3.png
冠状位增强扫描(门静脉期)
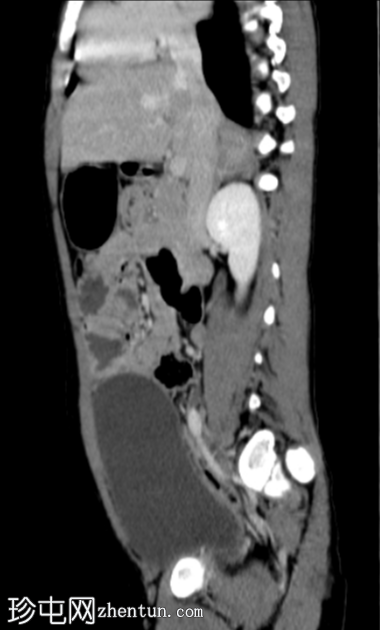
4.png
矢状位增强扫描(门静脉期)

阑尾过长,跨越中线向左侧延伸。阑尾呈扩张状态,充满液体(8mm),管壁增厚并强化,近端可见多发性穿孔。阑尾周围脂肪间隙模糊,可见液体密度影和管腔外气体。未见脓肿。

病例讨论

阑尾炎引起左髂窝(下腹部)疼痛较​​为罕见,可能由解剖变异(如完全性内脏反位或肠旋转不良)或阑尾过长延伸至左侧(如本例)所致。在这种情况下,它的症状与其他疾病相似,例如梅克尔憩室炎、结肠憩室炎或大网膜垂体炎,需要进行CT扫描以明确诊断并考虑穿孔等并发症。

患者立即接受了阑尾切除术,术后恢复顺利。
您需要登录后才可以回帖 登录 | 注册
Copyright © 2011-2026 东莞市珍屯医疗科技有限公司Powered by zhentun.com
返回顶部