找回密码
 注册

急性阑尾炎

作者:大江 | 时间:2026-1-13 11:00:00 | 阅读:82| 显示全部楼层
临床表现

右髂窝疼痛

患者资料

年龄:5岁

性别:男

CT
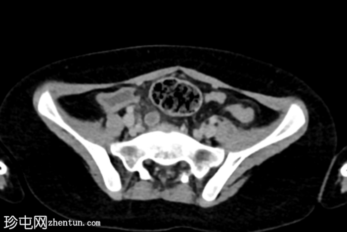
轴位增强扫描(门静脉期)
1.png
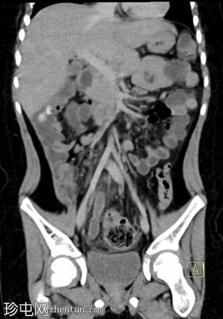
冠状位增强扫描(门静脉期)
2.png
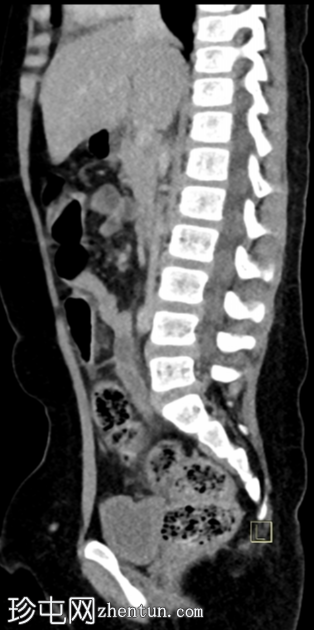
矢状位增强扫描(门静脉期)
3.png
阑尾充血膨胀,直径10 mm,轻度壁增厚及强化,周围脂肪间隙模糊。

回盲部及阑尾开口轻度壁增厚,可能为炎症性增生(回结肠炎)。

右髂系膜淋巴结肿大。

病例讨论

该病例的影像学表现符合急性阑尾炎的典型特征,表现为阑尾充血膨胀(最大直径10 mm),轻度壁增厚及强化,周围脂肪间隙模糊。

本病例的其他发现包括右髂窝肠系膜淋巴结肿大(反应性增生)和回盲部肠壁增厚,这可能代表反应性肠壁增厚(继发于阑尾炎),但更可能在本病例中,是炎症/感染(回结肠炎)的早期阶段,最终扩散至阑尾开口,导致阑尾开口管腔狭窄,进而发展为急性真性阑尾炎——本病例中未见阑尾粪石阻塞阑尾开口。

遗憾的是,该患者失访。
您需要登录后才可以回帖 登录 | 注册
Copyright © 2011-2026 东莞市珍屯医疗科技有限公司Powered by zhentun.com
返回顶部