找回密码
 注册

小肠梗阻——肠结石

作者:大江 | 时间:2026-1-17 19:00:00 | 阅读:98| 显示全部楼层
临床表现

上腹部疼痛和呕吐。

患者资料

年龄:70岁

性别:男

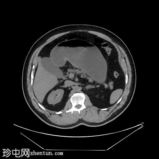
CT
1.jpg
轴位增强扫描(门静脉期)
2.jpg
轴位平扫
3.jpg
冠状位增强扫描(门静脉期)
4.jpg
矢状位增强扫描(门静脉期)

胃和十二指肠明显扩张,充满液体,直径约53毫米,可见斑驳状气体样肿块。

十二指肠第四段为移行区,其后为塌陷的空肠和回肠袢。

病例讨论

胃石是指胃肠道内积聚的不可消化物质,是机械性小肠梗阻的少见病因,约占小肠梗阻病例的0.4%~4%,既往有胃部手术史或存在动力障碍的患者发生率较高。

根据成分,胃石可分为植物性胃石(植物和食物纤维,最常见)、毛发性胃石、药物性胃石和乳糜性胃石。其中,植物性胃石与胃切除术后和迷走神经切断术后患者存在显著的流行病学关联,这主要是由于胃排空障碍所致。

在CT扫描中,胃石引起的梗阻通常表现为边界清晰的管腔内肿块,在移行点处可见斑驳的气体或“粪便样”外观,并伴有近端肠管和胃扩张,因此CT是最准确的诊断方法。内镜下,植物性胃石通常质地较硬,由压实的食物和植物纤维组成,反映了慢性消化淤积和消化不良。

本例患者接受了上消化道内镜检查和体外冲击波碎石术,以分解由食物和纤维组成的胃石(植物性胃石)。他曾在 70 年代接受过迷走神经切断术,这是一种外科手术切断迷走神经的方法,过去常用于治疗难治性消化性溃疡,但由于质子泵抑制剂的有效性和幽门螺杆菌根除的普及,如今已很少在现代临床实践中使用。术后出现的胃轻瘫和胃排空延迟使他容易反复形成胃石,并最终导致小肠梗阻。
您需要登录后才可以回帖 登录 | 注册
Copyright © 2011-2026 东莞市珍屯医疗科技有限公司Powered by zhentun.com
返回顶部