找回密码
 注册

急性肠缺血

作者:大江 | 时间:2026-1-22 20:00:04 | 阅读:141| 显示全部楼层
临床表现

腹痛、腹胀、全身腹肌紧张、乳酸水平升高。

患者资料

年龄:80岁

性别:女

X线检查
1.jpeg
多处小肠袢扩张。

结肠内可见少量粪便。

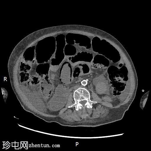
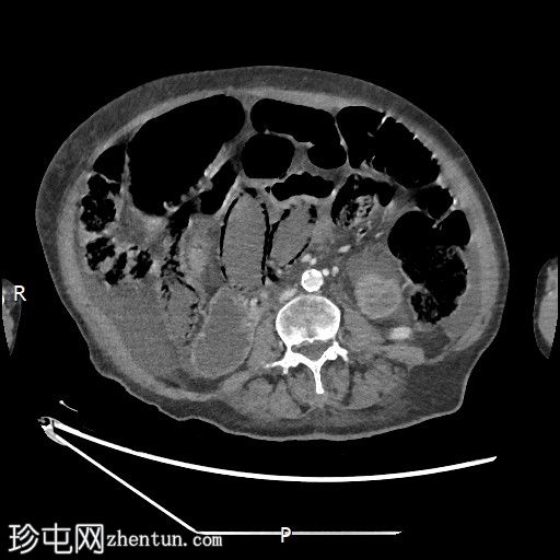
CT
2.jpg
轴位平扫
3.jpg
轴位增强扫描(门静脉期)
4.jpg
冠状位增强扫描(门静脉期)

大肠内可见中度粪便。横结肠轻度扩张(约6.6厘米)。

数处小肠袢直径接近临界值(约3厘米),部分肠袢内可见粪便。

腹部中央及右侧可见数处小肠袢肠壁明显变薄,并可见肠壁积气。

少量腹水。

主动脉及其内脏分支可见明显动脉粥样硬化。肠系膜上动脉(SMA)开口处中度至重度狭窄;但开口后显影良好。

目前未见明显的门静脉-肠系膜静脉积气。

无气腹。

照片
5.jpeg
患者接受了急诊剖腹探查术。

约70-80厘米回肠坏疽,并发现出血性腹水。

行肠系膜切除及侧侧吻合术。

病例讨论

急性肠系膜缺血可由闭塞性或非闭塞性病因引起。闭塞性缺血可由动脉(栓塞或血栓形成)或静脉引起。动脉病因最为常见,其次是非闭塞性(NOMI),再次是静脉病因。它可以累及大肠或小肠。
您需要登录后才可以回帖 登录 | 注册
Copyright © 2011-2026 东莞市珍屯医疗科技有限公司Powered by zhentun.com
返回顶部