找回密码
 注册

Lisfranc损伤

作者:大江 | 时间:2026-2-2 12:00:01 | 阅读:85| 显示全部楼层
临床表现

外伤后中足疼痛和肿胀

患者资料

年龄:40岁

性别:男

X线片
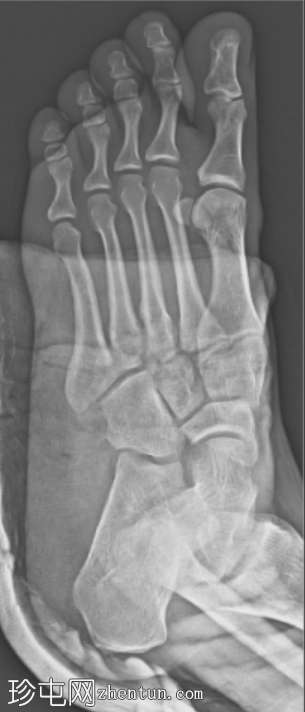
1.png
正位片
2.png
斜位片

可见正常的M2-C2对位被破坏,第二跖骨基底部向外侧移位。C1-M2间隙以及第一和第二跖骨基底部之间的跖骨间隙增宽,符合Lisfranc韧带断裂的表现。在中间楔骨附近可见一小块相邻骨碎片,呈斑点征。

病例讨论

Lisfranc损伤是指跗跖关节复合体的断裂,最常见的是Lisfranc韧带断裂,该韧带连接内侧楔骨(C1)和第二跖骨(M2)基底部。影像学特征包括第二跖骨-第二颈椎(M2-C2)对位不良、第一跖骨-第二颈椎(C1-M2)间隙增宽、第一跖骨-第二跖骨基底部分离超过2毫米,以及出现碎片征,该征象代表Lisfranc韧带止点处的撕脱骨碎片,被认为是该损伤的高度特异性表现。

患者接受了手术治疗,包括Lisfranc韧带修复和第一和第二跖跗关节(TMT)融合术。术中,第二TMT关节复位并用螺钉固定,Lisfranc韧带和第二TMT关节均获得了足够的稳定性。影像增强电视(IITV)证实了复位良好和关节吻合。
您需要登录后才可以回帖 登录 | 注册
Copyright © 2011-2026 东莞市珍屯医疗科技有限公司Powered by zhentun.com
返回顶部