找回密码
 注册

内上髁骨折

作者:大江 | 时间:2026-2-3 12:00:01 | 阅读:78| 显示全部楼层
病例介绍

从杆上摔落,肘部着地,无法伸直,肘关节基底部骨性压痛。

患者资料

年龄:8岁

性别:女

肘关节X线片

X线片
1.jpg
正位片
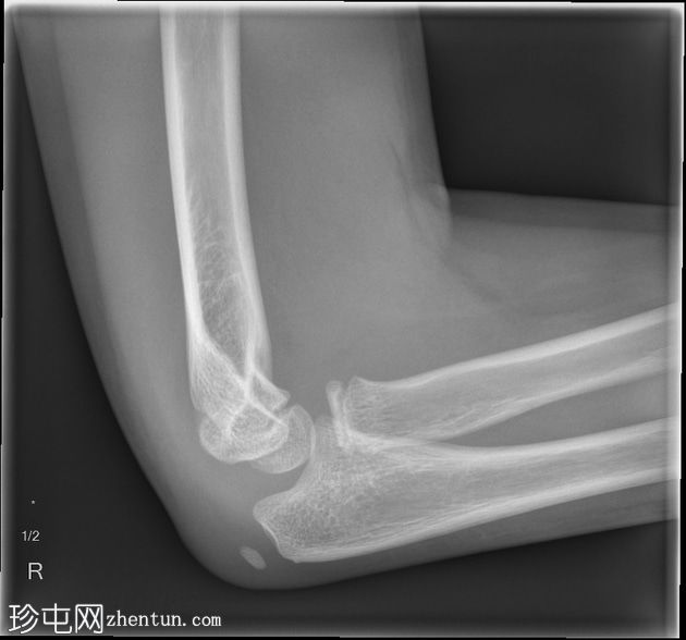
2.jpg
侧位片

内上髁附近可见骨碎片,内上髁轻度移位。上方软组织中度肿胀,前脂肪垫隆起,提示关节积液。影像表现符合内上髁撕脱性骨折。关节对位正常。

桡骨头骨骺可见正常变异裂隙。

病例讨论

肘关节骨化中心的骨折诊断具有挑战性,因为骨化中心的数量和形态会随时间变化。CRITOE 或 CRITOL 是记忆骨化顺序的有效助记词。

本病例也强调了评估软组织的重要性。此处的软组织表明,骨折的可能位置是关节的内侧,大部分水肿位于内上髁上方。
您需要登录后才可以回帖 登录 | 注册
Copyright © 2011-2026 东莞市珍屯医疗科技有限公司Powered by zhentun.com
返回顶部