找回密码
 注册

肢体严重损伤和Lisfranc截肢

作者:大江 | 时间:2025-12-22 12:27:02 | 阅读:77| 显示全部楼层
病例介绍

摩托车事故。左脚严重受伤,多处开放性骨折,肌腱外露,前足严重畸形。

患者资料

年龄:20岁

性别:男

X线片
1.png
正位
2.png
斜位

第一跖趾关节脱位。

第二跖骨头粉碎性骨折脱位。

第三跖骨骨折伴节段性骨缺损。

第五跖骨颈移位性骨折。

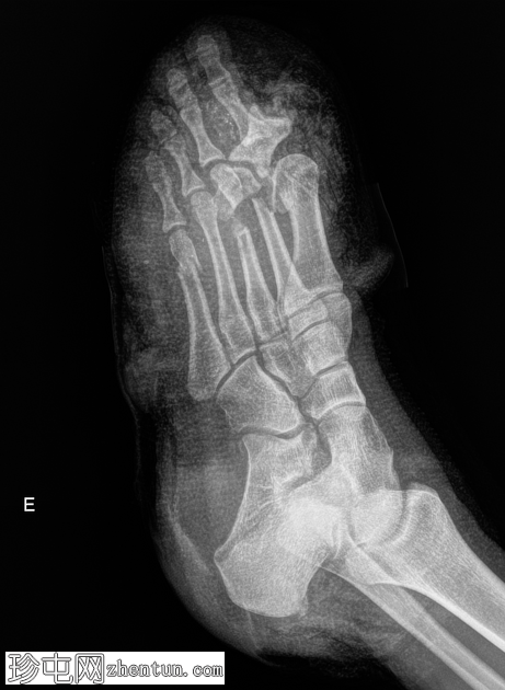
术后
X线片
3.png
正位
4.png
斜位

术后即刻影像

经Lisfranc跗跖关节截肢(Lisfranc截肢术)。

骨突处软组织覆盖良好。

病例讨论

四肢严重创伤是急诊科面临的棘手病例。肢体保留与截肢的决策需要考虑诸多因素,包括:肢体存活能力、患者临床状况、社会文化因素和经济社会因素。

临床实践中可使用一些评分系统来辅助决策,最常用的是肢体严重损伤评分(MESS)和甘加医院开放性损伤评分(GHOISS)。

在本病例中,评分结果建议截肢,这也是骨科团队在与患者讨论治疗方案后最终做出的决定。

考虑到软组织损伤的严重程度以及伤口愈合的担忧,选择Lisfranc截肢而非经跖骨截肢。
您需要登录后才可以回帖 登录 | 注册
Copyright © 2011-2026 东莞市珍屯医疗科技有限公司Powered by zhentun.com
返回顶部