找回密码
 注册

肩部下脱位(直立脱位)

作者:大江 | 时间:2025-12-22 12:30:12 | 阅读:80| 显示全部楼层
病例介绍

醉酒后从高处坠落。右臂外展固定。

患者资料

年龄:70岁

性别:男

病例介绍

X线片
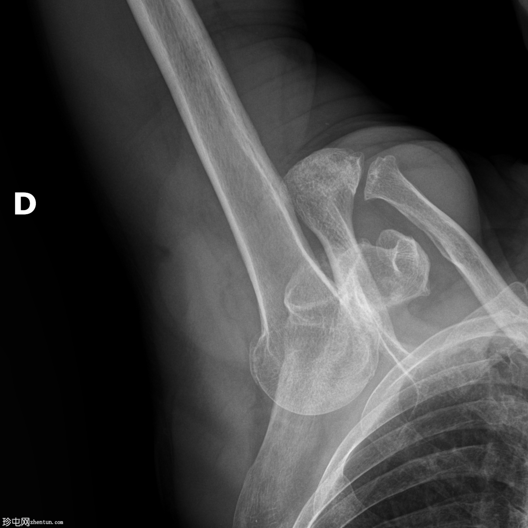
1.png
关节对位异常。

肱骨头向内侧和下方突出。手臂外展,肱骨干基本与肩胛冈平行。这提示肩关节下脱位。

复位后

X线片
2.png
肩关节复位良好。

未见相关骨折。

病例讨论

肩关节下脱位,也称为直立脱位,非常罕见,占所有肩关节脱位的比例不到1%。

典型的表现是手臂固定于外展位,常见的致伤机制是手臂过度外展。

肩关节下脱位的X线表现与肩关节前脱位非常相似,肱骨头均向内侧和下方突出于肩胛盂。如果发生下脱位,会观察到手臂外展,肱骨干与肩胛冈平行。相反,在更常见的上脱位中,手臂会内收,肱骨干与胸壁平行。

在本病例中,由于手臂外展受限,无法进行侧位X线检查,而侧位X线检查可以进一步确诊。

正确识别下脱位至关重要,因为其复位手法与上脱位不同。
您需要登录后才可以回帖 登录 | 注册
Copyright © 2011-2026 东莞市珍屯医疗科技有限公司Powered by zhentun.com
返回顶部