找回密码
 注册

小腿假体囊外破裂

作者:大江 | 时间:2025-12-22 16:55:45 | 阅读:74| 显示全部楼层
临床表现

已知双侧小腿植入物。现表现为新发的局部小腿下部疼痛,并可触及肿块。

患者资料

年龄:55岁

性别:女

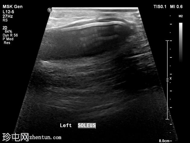
超声
1.jpg
横断面
2.jpg
横断面
3.jpg
横断面
4.jpg
纵断面

可见皮下、肌外软性硅胶小腿植入物。植入物包膜局部破裂/撕裂,局部凝胶渗漏,并出现炎症反应,多普勒超声检查显示充血。未见边界清晰或包膜完整的脓肿形成。

X线片
5.jpg
正位片
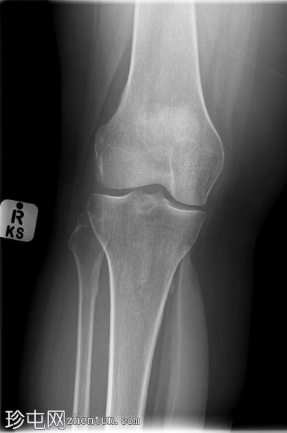
6.jpg
侧位片

PACS系统回顾显示既往右膝关节平片。可见内侧小腿植入物,在膝关节X线片上部分显影。正位片上易于识别,但在侧位片上可能被忽略,尤其是在缺乏病史的情况下。

病例讨论

本病例为一例浅表、肌外、小腿内侧软硅胶假体植入,假体后下缘发生局部破裂,导致凝胶渗漏,疑似炎症反应引起新发疼痛和肿块。

小腿增粗术是一种增大和改善患者小腿形状的手术。

小腿假体由医用级硅胶制成,可以是实心的,也可以是软凝胶的,如本例所示。假体根据患者的具体情况定制,因此具有个体差异性。

小腿假体可以皮下植入,也可以肌下植入(位于腓肠肌内侧头下方)。

需要考虑常见的麻醉风险和并发症。假体特有的并发症包括感染、血清肿形成、假体移位、瘢痕形成、包膜挛缩和不对称。

软凝胶假体可能会发生破裂,如本例所示。相比之下,实心假体破裂的可能性较小。在异常/极端情况下,例如在意外或故意创伤中植入物受到直接撞击时,植入物可能会断裂或开裂。
您需要登录后才可以回帖 登录 | 注册
Copyright © 2011-2026 东莞市珍屯医疗科技有限公司Powered by zhentun.com
返回顶部