找回密码
 注册

肘关节后外侧旋转不稳

作者:大江 | 时间:2025-12-22 19:32:55 | 阅读:86| 显示全部楼层
病例介绍

肘部外伤

患者资料
年龄:35岁

性别:男

MRI
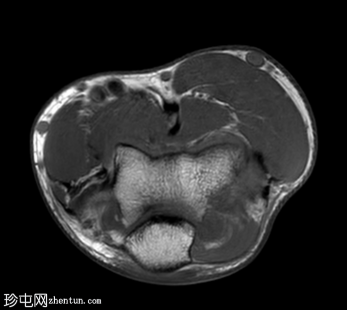
轴位
T1加权像
1.png
矢状位
T2加权像
2.png
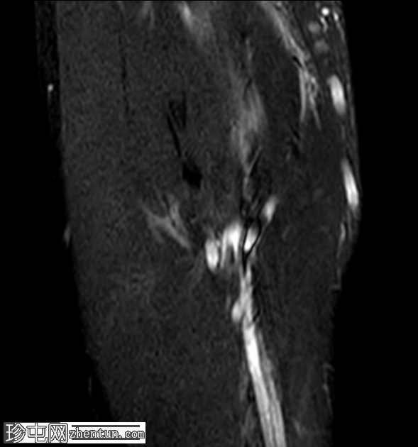
轴位PD加权像
脂肪抑制像
3.png
冠状位PD加权像
脂肪抑制像
4.png
矢状位PD加权像
脂肪抑制像
5.png
冠状位
STIR序列
6.png
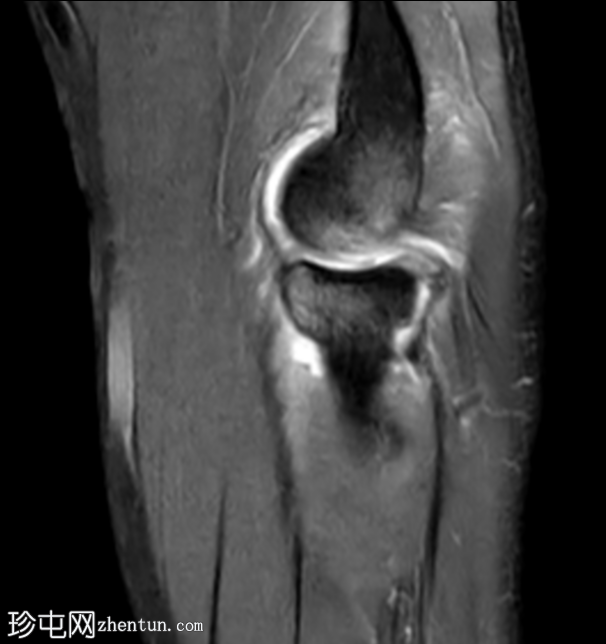
肘关节外侧及后外侧结构存在复杂的损伤模式。

桡骨头及桡骨颈可见骨髓水肿,前内侧关节内部分可见低信号骨折线,符合桡骨头无移位骨折。

肱骨远端外侧髁/肱骨小头也可见明显的骨髓水肿。伴有皮质不规则、凹陷及正常轮廓消失,提示骨小梁嵌顿。

位于水肿骨内的这处骨损伤(奥斯本-科特里尔损伤)代表的是真正的撞击性骨折,而非常见的正常解剖假性缺损。

尺侧副韧带显示高度撕裂,表现为模糊的异常形态,并伴有高PD信号强度。

内侧副韧带前束近端附着点显示高PD和STIR信号以及纤维断裂,符合部分撕裂的特征。

桡骨近端周围存在广泛的软组织水肿和液体信号,提示环状韧带损伤。

旋后肌显示明显的水肿,且肱二头肌腱附着处信号异常。

另可见大量关节积液。

病例讨论

这是一个典型的肘关节后外侧旋转不稳病例,与既往肘关节脱位相符。

肘关节后外侧旋转不稳(PLRI)是慢性肘关节不稳最常见的类型,表现为桡骨和尺骨向后外侧方向半脱位,远离肱骨。

典型的创伤机制是跌倒时手臂处于旋后位,手掌伸展着地,从而产生轴向负荷、外翻力矩和外旋力。

这种“Horii环状软组织损伤”始于外侧尺侧副韧带(LUCL)的撕裂,LUCL是PLRI的主要限制结构,损伤会延伸至关节囊的后部和前部,严重时甚至会累及内侧副韧带。

在MRI上,后外侧旋转不稳的标志性特征是尺侧副韧带(LUCL)的断裂或变薄,在冠状位T2加权或质子密度脂肪抑制序列上显示最佳。其他辅助性发现包括:伸肌总腱起点处水肿或撕裂、后外侧关节囊内有液体信号提示关节囊破裂、矢状位图像上桡骨头半脱位,以及桡骨头骨折和后外侧上髁/肱骨小头凹陷性骨折(即奥斯本-科特里尔损伤)。
您需要登录后才可以回帖 登录 | 注册
Copyright © 2011-2026 东莞市珍屯医疗科技有限公司Powered by zhentun.com
返回顶部