找回密码
 注册

腓下骨

作者:大江 | 时间:2025-12-22 19:35:44 | 阅读:75| 显示全部楼层
病例介绍

下楼梯时扭伤踝关节。

患者资料

年龄:50岁

性别:女

X线片
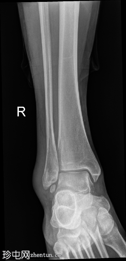
1.png
正位片
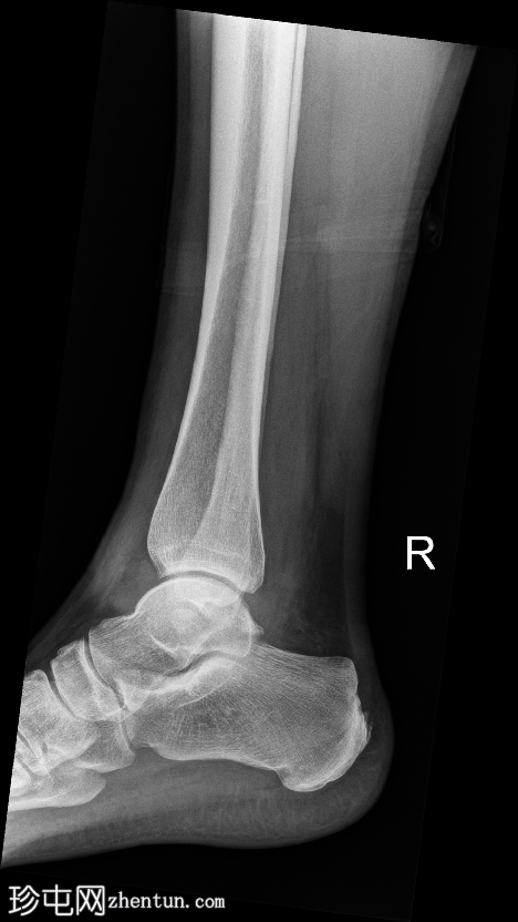
2.png
侧位片

腓骨远端下方可见一皮质完整的圆形小骨,符合腓骨下骨的特征。其光滑的边缘和皮质化程度提示为慢性副骨,而非急性撕脱骨折碎片。外踝上方可见局部软组织肿胀,表现为该区域软组织密度增高和隆起。

前后关节窝轻度扩张,提示踝关节积液。未见急性骨折或脱位。关节间隙清晰,对位正常。

病例讨论

X线片上显示的腓骨下骨代表腓骨远端旁一小块发育良好的副骨。其光滑的皮质轮廓表明它是一种长期存在的结构,而非急性骨折所致。相比之下,外踝处可见的软组织肿胀和轻微的关节积液则提示近期踝关节损伤,最常见的是外侧韧带复合体扭伤。虽然腓骨下骨通常无症状,但它可能导致局部创伤后疼痛,或者在某些个体中,与踝关节反复不稳有关。
您需要登录后才可以回帖 登录 | 注册
Copyright © 2011-2026 东莞市珍屯医疗科技有限公司Powered by zhentun.com
返回顶部