找回密码
 注册

髌骨袖状骨折

作者:大江 | 时间:2025-12-22 19:46:51 | 阅读:81| 显示全部楼层
病例介绍

一名篮球运动员在跳高后出现剧烈疼痛和功能丧失。

患者资料

年龄:11岁

性别:男

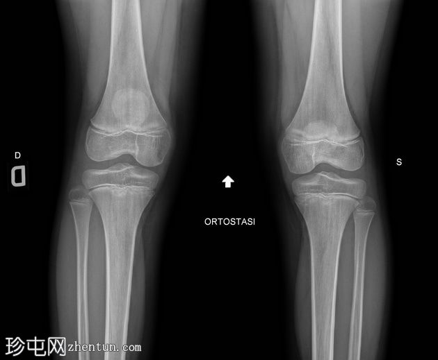
右膝

X线片
正位 -

负重位
1.jpg
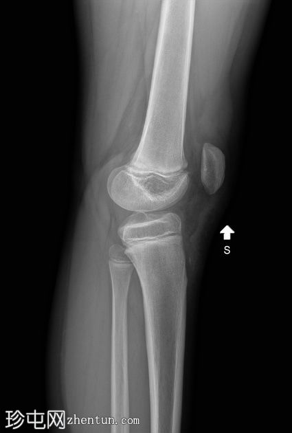
侧位 -

负重位
2.jpg
侧位 -

负重位
3.jpg
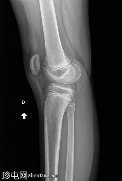
放大
正位
4.jpeg
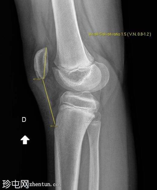
放大
侧位
5.jpeg
髌骨下极可见一小块薄骨碎片,伴有髌骨高位,Insall-Salvati比值为1.5(V.N. 0.8 - 1.2)。膝前可见软组织肿胀。左膝正常。

病例讨论

儿童髌骨骨折并不常见。髌骨袖状骨折是一种仅见于儿童的特殊类型骨折,由肌肉快速收缩引起。髌骨高位是最明显的体征。这种骨折,即髌骨骨膜“袖套”脱离髌骨,会继续形成新的骨骼,逐渐增大直至与髌骨大小相当。治疗方法包括快速复位,通常还需要对撕裂的髌腱进行内固定。未经治疗的髌骨袖套骨折的并发症包括髌骨高位、膝前疼痛和股四头肌萎缩,导致活动严重受限。
您需要登录后才可以回帖 登录 | 注册
Copyright © 2011-2026 东莞市珍屯医疗科技有限公司Powered by zhentun.com
返回顶部