找回密码
 注册

内收肌损伤 - BAMIC 2B 型

作者:大江 | 时间:2025-12-22 19:57:10 | 阅读:77| 显示全部楼层
临床表现

运动相关损伤。右侧内收肌区域疼痛

患者资料

年龄:30岁

性别:男

MRI
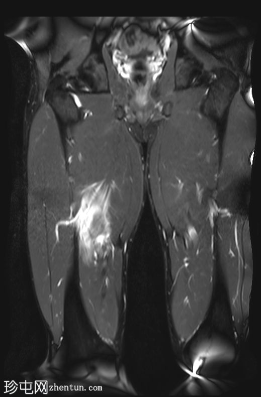
1.jpg
冠状位

T2加权像
2.jpg
轴位

T2加权像
3.jpg
矢状位

T2加权像
4.jpg
轴位
T1加权像
5.jpg
轴位

T2-fl2d-hemo

内收长肌和内收短肌中远侧外侧可见羽状改变和肌内水肿,主要累及内收大肌,长15厘米,宽4厘米。未见明显血肿或完全性肌纤维撕裂。

后腱膜、邻近神经血管交界处及邻近肌间隙可见积液,少量积液向外侧扩散,沿肌间隙到达大腿中远侧。

内收肌腱完整,骨性附着点清晰可见,肌腱轻度增厚,中部可见腱周水肿;未见撕裂。

病例讨论

影像学特征符合英国田径肌肉损伤分级(BAMIC/BAC)2B级损伤,主要累及大收肌。未见明显的血肿或肌纤维完全撕裂。

后侧腱膜、邻近神经血管束及肌间隙可见积液,少量积液沿肌间隙向外侧延伸至大腿中远端。

内收肌腱完整,骨性附着点清晰可见,肌腱轻度增厚,中部可见腱周水肿;未见撕裂。

BAMIC/BAC是一种基于MRI的五级肌肉损伤分级系统。
您需要登录后才可以回帖 登录 | 注册
Copyright © 2011-2026 东莞市珍屯医疗科技有限公司Powered by zhentun.com
返回顶部