找回密码
 注册

颈段食管异物嵌顿

作者:大江 | 时间:2025-12-23 15:01:20 | 阅读:72| 显示全部楼层
临床表现

患者自述近期进食后感觉喉咙里卡着一块骨头,伴有吞咽疼痛和轻度吞咽困难。

患者资料

年龄:25岁

性别:男

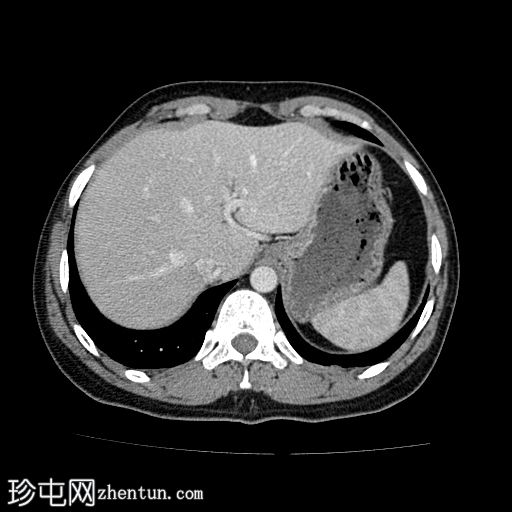
CT
1.jpg
轴位
平扫
2.jpg
轴位增强扫描(门静脉期)
3.jpg
冠状位增强扫描(门静脉期)
4.jpg
矢状位增强扫描(门静脉期)

颈段食管内可见一线状水平方向的高密度异物。

颈段和上胸段食管可见长段环周强化壁增厚,符合异物嵌顿引起的反应性水肿改变。

可见食管壁撕裂,可能与异物的方向有关。此外,可见多个食管周围气腔,提示可能存在食管穿孔。

未见纵隔积气、食管周围脓肿或明显穿孔的证据。

鱼刺照片
5.png
图示

内镜下取出鱼刺后。可见黏膜撕裂伤,食管黏膜受损。内镜医师未报告穿孔的证据。

由于患者临床状况稳定,经主治医师判断,未进行CT检查。

病例讨论

颈段食管是成人异物嵌顿最常见的部位。线状不透射线的异物(例如鱼刺或鸡刺)在CT上显示最佳。反应性水肿和管壁增厚常伴随异物嵌顿时间延长。

早期识别和紧急内镜取出对于预防穿孔、纵隔炎或脓肿形成等并发症至关重要。
您需要登录后才可以回帖 登录 | 注册
Copyright © 2011-2026 东莞市珍屯医疗科技有限公司Powered by zhentun.com
返回顶部