找回密码
 注册

活动性憩室出血

作者:大江 | 时间:2025-12-23 15:03:54 | 阅读:61| 显示全部楼层
临床表现

消化道出血

患者资料

年龄:80岁

性别:女

CT
轴位

平扫
1.png
轴位增强扫描

动脉期
2.png
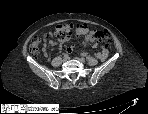
轴位增强扫描

门静脉期
3.jpg
轴位增强扫描

动脉期 - 薄层扫描
4.png
冠状位增强扫描

动脉期
5.png
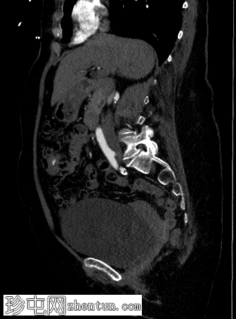
矢状位增强扫描

动脉期
6.png
弥漫性结肠憩室病,无憩室炎证据。

横结肠中段可见一憩室,动脉期开始出现异常造影剂外渗,门静脉期增多,憩室腔内亦可见造影剂外渗,提示憩室出血伴活动性动脉出血。

病例讨论

患者既往有结肠憩室炎病史,此次因新鲜下消化道出血就诊。行CT血管造影以确定出血部位和出血来源。出血始于乙状结肠憩室,腔内渗出的造影剂与乙状结肠腔内的造影剂相连。随着造影剂显影的进行,憩室逐渐被完全充盈,乙状结肠腔内渗出的造影剂增多,符合活动性动脉出血的表现。

服用抗凝剂、非甾体抗炎药以及患有弥漫性结肠憩室病的年长患者发生结肠憩室出血的风险较高。无需特殊准备即可立即进行多期增强CT扫描,其在检测和定位消化道出血源方面具有很高的特异性,因此有助于对这些患者进行分诊,并改善治疗性结肠镜检查的疗效。
您需要登录后才可以回帖 登录 | 注册
Copyright © 2011-2026 东莞市珍屯医疗科技有限公司Powered by zhentun.com
返回顶部