找回密码
 注册

嗜酸性食管炎

作者:大江 | 时间:2025-12-23 15:06:36 | 阅读:54| 显示全部楼层
临床表现

患者主诉吞咽困难。否认腹痛、烧心和恶心。自述长期吞咽药片困难,偶有食物嵌塞,尤其是在快速进食时,饮水或细嚼慢咽后症状可缓解。

患者资料

年龄:55岁

性别:男

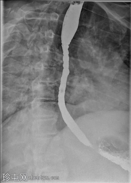
透视检查
1.png
冠状位
2.png
冠状位
3.png
矢状位
4.png
矢状位
5.png
矢状位
6.png
透视食管造影显示食管内可见同心环状轻度狭窄,符合嗜酸性食管炎的影像学表现。近端食管轻度扩张,提示存在固定性狭窄。未见肿块或食管裂孔疝。

病例讨论

胃镜检查显示食管中段纤维环和近端狭窄,需使用儿科胃镜,符合嗜酸性食管炎的影像学表现。远端未见明显环状结构,并发现一处1厘米大小的滑动性食管裂孔疝。分别取食管上段、中段和远端进行活检。

食管活检证实嗜酸性粒细胞增多,符合嗜酸性食管炎的诊断,以近端和中段食管最为显著。胃活检显示轻微慢性炎症,未检出幽门螺杆菌;十二指肠活检显示反应性改变,伴有胃小凹化生,符合消化性十二指肠炎的诊断。未发现肠化生或异型增生。

嗜酸性食管炎(EoE)是一种慢性、进行性、免疫介导性疾病,始于嗜酸性粒细胞炎症,若不治疗,可发展为纤维狭窄和食管狭窄。

钡餐食管造影通常显示固定的同心环(“气管化”)、节段性狭窄或食管管径变细。

诊断需要食管活检高倍视野下嗜酸性粒细胞≥15个,并伴有嗜酸性粒细胞微脓肿和固有层纤维化等特征,提示疾病的慢性化。

标准治疗包括饮食排除、质子泵抑制剂和局部应用糖皮质激素,目前FDA已批准度普利尤单抗用于治疗难治性疾病。
您需要登录后才可以回帖 登录 | 注册
Copyright © 2011-2026 东莞市珍屯医疗科技有限公司Powered by zhentun.com
返回顶部