找回密码
 注册

慢性胰腺炎

作者:大江 | 时间:2025-12-23 15:13:23 | 阅读:58| 显示全部楼层
临床表现

上腹痛、消化不良、恶心和呕吐。

患者资料

年龄:30岁

性别:男

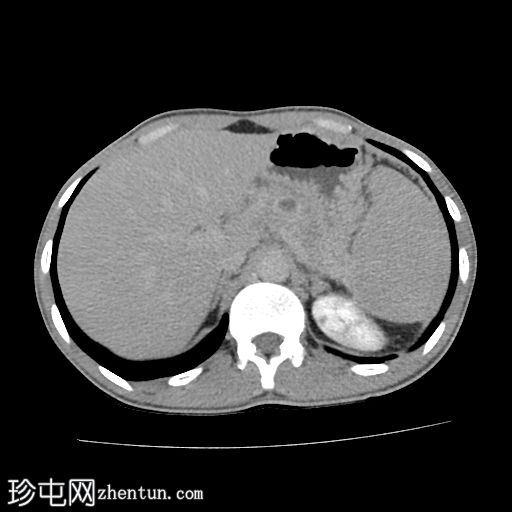
CT
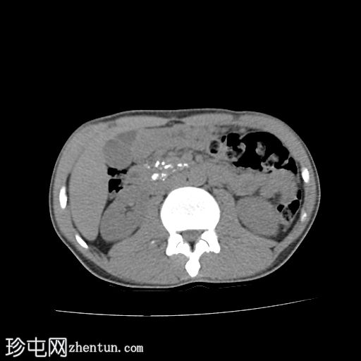
1.jpg
轴位
平扫
2.jpg
轴位增强扫描
动脉期
3.jpg
轴位增强扫描
门静脉期
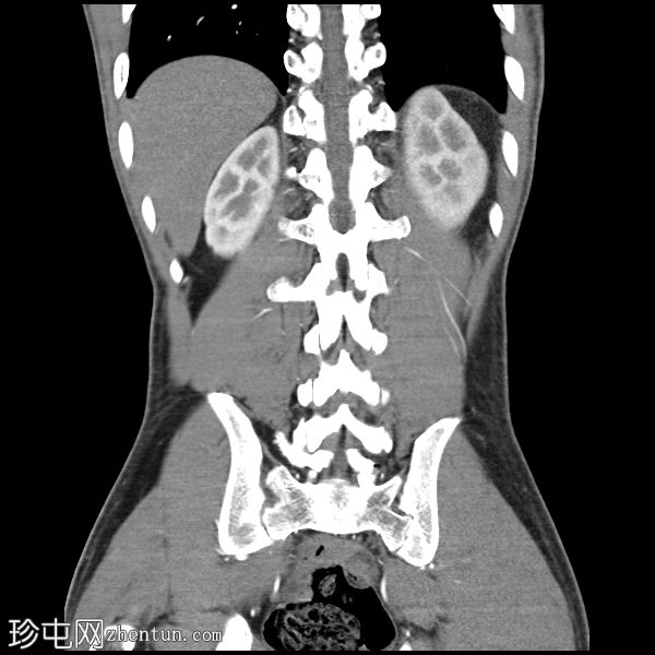
4.jpg
冠状位增强扫描
门静脉期
5.jpg
矢状位增强扫描
门静脉期
6.jpg
轴位增强扫描
延迟期
7.jpg
冠状位增强扫描
门静脉期
8.jpg
冠状位增强扫描
延迟期
9.jpg
矢状位增强扫描
延迟期

胰腺肿大。胰头、胰颈和胰体未见强化,边界不清且不规则。主胰管扩张,管内可见钙化。

胰腺实质内弥漫散在分布着大量钙化灶。

胰尾可见部分强化区域。

胰尾部钙化性假性囊肿。

影像学表现提示慢性钙化性胰腺炎伴胰尾部钙化性假性囊肿。

病例讨论

慢性胰腺炎伴钙化性假性囊肿。

弥漫性实质及导管钙化是慢性钙化性胰腺炎的典型特征。

胰头及胰体无强化、形态不规则提示纤维化程度较重。

钙化性假性囊肿是一种慢性并发症,可通过囊壁钙化与肿瘤相鉴别。

CT是评估实质缺损、导管改变、钙化及假性囊肿的首选影像学检查方法。
您需要登录后才可以回帖 登录 | 注册
Copyright © 2011-2026 东莞市珍屯医疗科技有限公司Powered by zhentun.com
返回顶部