找回密码
 注册

网膜垂体炎

作者:大江 | 时间:2025-12-23 15:15:57 | 阅读:62| 显示全部楼层
临床表现

左下腹疼痛2天

患者资料
年龄:25岁

性别:男

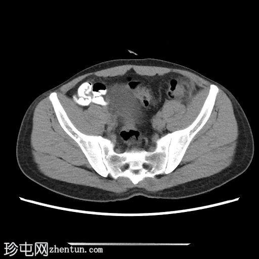
CT
1.jpg
轴位
平扫
2.png
冠状位
平扫
3.jpg
轴位增强扫描(门静脉期)
4.png
冠状位增强扫描(门静脉期)

乙状结肠-降结肠交界处前缘可见一卵圆形脂肪密度病灶,大小约20 x 7 mm(TR x AP)。病灶周围可见高密度环及脂肪条索影,符合大网膜垂炎的影像学表现。

邻近肠壁可见轻度反应性增厚。

未见腹腔积液或肠系膜淋巴结肿大。

病例讨论

本病例符合大网膜垂炎的典型特征。患者表现为局灶性、非游走性左下腹疼痛,无发热或白细胞增多等全身症状。

CT扫描显示结肠旁有一小块卵圆形脂肪密度病灶,周围有薄层高密度环(“环状征”),并可见轻度脂肪条索影。未见肠壁增厚、脓肿形成或穿孔,排除了憩室炎等更严重的鉴别诊断。

患者接受了保守治疗,病情好转,未出现并发症,符合该病通常的自限性病程。
您需要登录后才可以回帖 登录 | 注册
Copyright © 2011-2026 东莞市珍屯医疗科技有限公司Powered by zhentun.com
返回顶部