首页
Portal
订阅
产品资料
医疗器械
外科训练
医学论坛
BBS
关于我们
联系我们
登录
立即登录
立即注册
其他登录
QQ
微信
搜索
搜索
本版
文章
帖子
用户
本版
文章
帖子
用户
首页
Portal
订阅
产品资料
医疗器械
外科训练
医学论坛
BBS
关于我们
联系我们
账号
自动登录
找回密码
密码
登录
注册
外科
内科
第三
第四
中医
辅助
执业
教育
专区
好友
帖子
收藏
淘帖
分享
记录
留言板
门户
导读
排行榜
设置
我的收藏
退出
珍屯医学
»
医学论坛
›
外科
›
普外腹腔镜
›
假膜性结肠炎
返回列表
假膜性结肠炎
[复制链接]
作者:
大江
|
时间:
2025-12-23 15:28:42
|
阅读:80
|
显示全部楼层
临床表现
急性起病的腹痛。
患者资料
年龄:60岁
性别:男
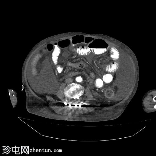
CT
定位扫描
图像
轴位增强扫描(门静脉期)
显示结肠壁环周增厚,尤其横结肠增厚,充血强化的黏膜覆盖于增厚的黏膜下皱襞之上,伴有结肠周围脂肪条索影和大量腹腔内游离液体。
少量右侧胸腔积液。
小肠袢未见异常。
病例讨论
该老年男性患者,两个月前曾接受脊柱手术,并多次服用抗生素,现因急性腹痛和腹胀就诊。CT检查结果提示结肠炎,在此临床情况下最可能是假膜性结肠炎。
回复
举报
返回列表
发表新帖
高级模式
B
Color
Image
Link
Quote
Code
Smilies
您需要登录后才可以回帖
登录
|
注册
大江
关注Ta
主题 17556
帖子 16642
积分 42140
此人很懒,什么也没留下。
•
轻松订阅最新动态(简易法)
•
珍屯网“股份”积分策略
•
会员注册规则说明——试行
•
您看好“外资独资办医”吗?欢迎大家投票和讨论
•
为各位医友推荐些好书!可代购
•
无排卵
•
《简明体格检查图解》┊陈清兰,郑智远编著.PDF
•
全国实践技能考试准考证打印一览表
阅读作者更多精彩帖子
热门问答
更多>
0
新月形骨折伴骨盆LC II损伤
62人围观, 发布于2026-01-29
0
三角骨骨折
58人围观, 发布于2026-01-30
0
腰骶移行椎(Castellvi 2b 型)
64人围观, 发布于2026-01-31
0
Hill-Sachs 缺陷伴 Bankart 病变
56人围观, 发布于2026-02-01