找回密码
 注册

食管癌表现为喉返神经麻痹

作者:大江 | 时间:2025-12-23 15:30:34 | 阅读:75| 显示全部楼层
临床表现

声音嘶哑及吞咽困难。

患者资料

年龄:70岁

性别:男

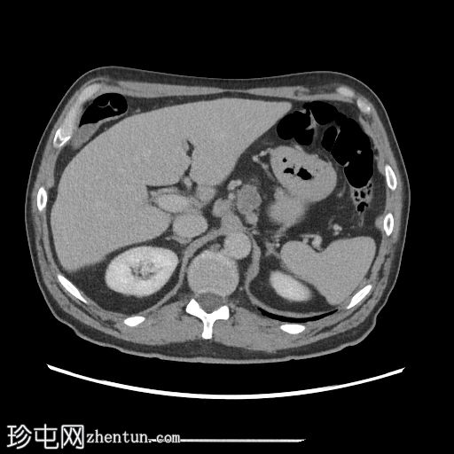
CT
轴位增强扫描(门静脉期)
1.jpg
冠状位增强扫描(门静脉期)
2.jpg
食管下段可见巨大管腔内肿块。

食管周围、隆突下及气管旁可见多个肿大淋巴结。左侧食管上段旁、气管食管沟处可见一个远处巨大淋巴结,可能影响左侧喉返神经

左侧声带外展(部分成像),屏气扫描时对侧声带代偿性向内侧弯曲,符合左侧声带麻痹表现。

冠状位图像再次显示巨大淋巴结,并证实右侧声带代偿性向内侧弯曲。

喉前囊性病变外观良性。

病例讨论

喉镜检查显示声带麻痹。随后,患者接受了食管镜检查,并在检查过程中对食管肿块进行了活检。

组织病理学分析证实食管病变中存在黏膜内癌。

喉前囊性病变的细胞学检查仅发现囊性内容物,未见恶性细胞。

本病例凸显了转移性淋巴结如何压迫喉返神经,导致声带麻痹。

此外,本病例还表现出一种不寻常的声带麻痹影像学表现:麻痹侧声带位于外侧,而正常的右侧声带则代偿性地向内侧弯曲。这与影像学上典型的声带麻痹旁正中位置形成对比,可能与本例采用屏气CT扫描技术有关,该技术导致麻痹侧声带无法内收,而对侧声带则越过中线。
您需要登录后才可以回帖 登录 | 注册
Copyright © 2011-2026 东莞市珍屯医疗科技有限公司Powered by zhentun.com
返回顶部