找回密码
 注册

腹逆位和肠旋转不良

作者:大江 | 时间:2025-12-23 15:36:34 | 阅读:85| 显示全部楼层
病情介绍

呼吸支持治疗 - 评估部和腹部情况。

患者资料

年龄:0天

性别:女

X线片
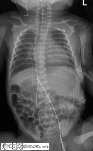
1.png
肺容量在正常范围内。可见轻度弥漫性颗粒状阴影。心脏大小和形态正常,心尖指向左侧。

腹部肠道气体分布无梗阻。经食管插管延伸至右侧腹部,提示胃位于右侧。左上腹密度增高,提示肝脏轮廓。

X线片
2.png
正位
3.png
侧位
4.png
侧位
5.png
正位
6.png
侧位
7.png
正位
8.png
侧位
9.png
侧位
10.png
正位
侧位
11.png
侧位

定位片显示肠道气体分布无梗阻,经食管插管终止于右上腹。

胃位于右上腹。观察到轻度中段食管反流。造影剂在近端十二指肠的延迟通过量极少,这属于异常情况。

延迟正位和侧位X线片显示肠内容物通过时间极短。

病例讨论

本例为腹腔内脏反位合并肠旋转不良。

初始胸片显示心脏轮廓解剖结构正常。相比之下,腹部X线片显示提示内脏反位的征象,表现为食管造影管的走行异常以及肝脏轮廓明显偏左。透视检查进一步证实了这些观察结果,并进一步提示肠旋转不良。

患者出生后不久接受了超声心动图检查,以评估是否存在心脏畸形。超声心动图(未显示)显示:

腹部内脏反位

心房内脏正位,房室和心室动脉吻合良好

轻度至中度动脉导管未闭,伴双向分流

卵圆孔未闭

随后,患者被送入手术室行肠旋转不良手术。术中发现与影像学检查结果相符,证实存在腹部内脏反位和肠旋转不良。具体而言,肝脏、胆囊、门静脉和十二指肠后胆总管位于左侧,而脾脏、胃和胰尾位于右侧。此外,还观察到十二指肠和盲肠之间存在Ladd带,符合肠旋转不良的诊断。
您需要登录后才可以回帖 登录 | 注册
Copyright © 2011-2026 东莞市珍屯医疗科技有限公司Powered by zhentun.com
返回顶部