找回密码
 注册

肺栓塞伴食管裂孔疝

作者:大江 | 时间:2025-12-23 15:45:31 | 阅读:96| 显示全部楼层
病例介绍

患者卧床不起,既往有反复上呼吸道感染和动脉高压病史,现出现呼吸困难。D-二聚体水平升高。

患者资料

年龄:80岁

性别:女

CT检查
1.png
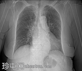
定位像

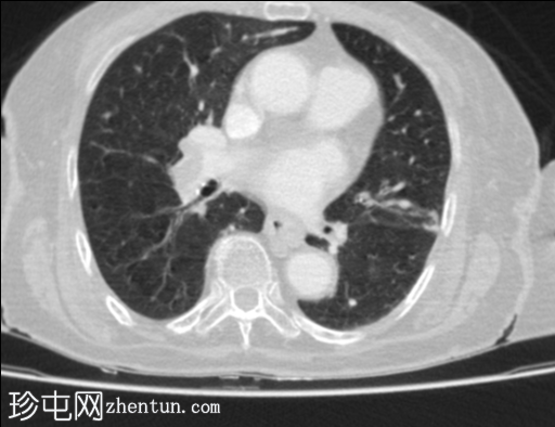
轴位
2.png
C+ CTPA

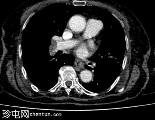
冠状位
3.jpg
C+ CTPA

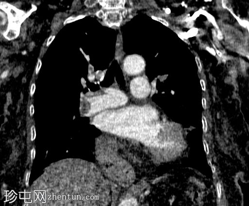
矢状位
4.png
C+ CTPA
5.png
轴位肺窗

定位像显示:

心脏轮廓增大

心后梭形不透光影,内含气泡

胃泡缺失,位于正常解剖位置

左上腹结肠内有气体

CTPA显示:

双侧肺动脉主干均可见大片充盈缺损,右侧上、下主干及左侧下叶主干可见闭塞

双肺清晰,可见肺叶少血,左上肺可见局灶性胸膜下条索状萎陷

心脏增大

由于食管裂孔扩大,胃位于后纵隔,无胃扭转征象

病例讨论

患者被诊断为双侧急性部分阻塞性肺栓塞和大型滑动型食管裂孔疝。临床和实验室检查结果支持影像学诊断,并伴有早期心力衰竭征象。

本病例意外发现IV型食管裂孔疝,其中整个胃和十二指肠第一段位于纵隔内。

需要考虑的重要并发症包括:

其他腹腔脏器通过此巨大缺损进入纵隔

胃扭转

肺叶受压导致的肺叶萎陷
您需要登录后才可以回帖 登录 | 注册
Copyright © 2011-2026 东莞市珍屯医疗科技有限公司Powered by zhentun.com
返回顶部