找回密码
 注册

坏疽性胆囊炎

作者:大江 | 时间:2025-12-23 15:51:55 | 阅读:91| 显示全部楼层
临床表现

患者主诉右上腹疼痛3天,伴发热、恶心、呕吐。

患者资料

年龄:50岁

性别:男

超声检查
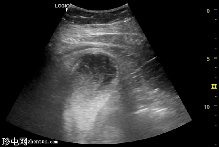
1.png
横切面
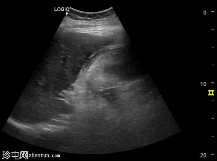
2.png
纵切面
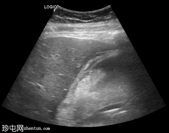
3.png
横切面
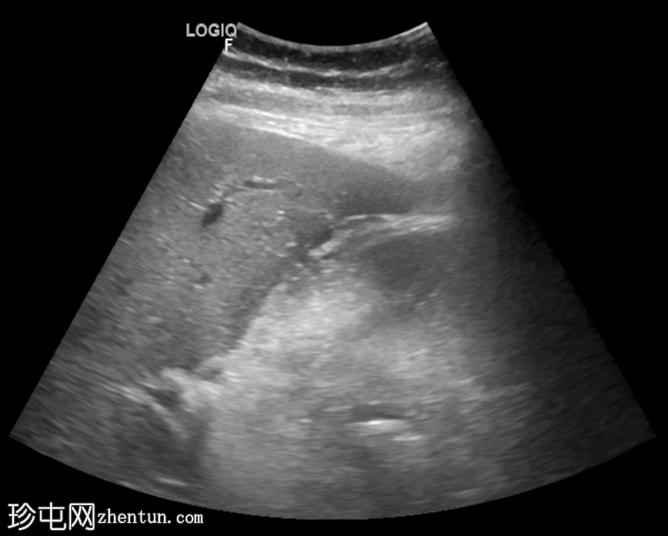
4.png
横切面
5.png
横切面
6.png
纵切面
横切面
胆囊扩张,充满回声不均的异质性高回声物质(高回声、等回声、低回声),并可见漂浮回声。

可见胆囊周围水肿,胆囊壁不对称增厚,呈局灶性断裂,胆囊壁内可见强回声灶和强回声线(可能为气体腔)。

总体表现提示复杂性胆囊炎(坏疽性)。

手术记录:

胆囊扩张并已坏疽。

先进行穿孔,然后放气,再仔细结扎胆囊动脉和胆囊管。

行胆囊切除术,随后用生理盐水冲洗。

分层缝合,皮肤用吻合器缝合,止血良好(SVS)。

病例讨论

实验室检查显示炎症标志物升高,白细胞计数(WBC)超过20,000个/μL,C反应蛋白(CRP)水平为210 mg/L。

坏疽性胆囊炎可通过超声检查结合患者的临床和实验室检查结果进行诊断。超声表现包括胆囊壁扭曲的特征,表现为腔内膜状物,可能是由于脱落或破裂所致,或胆囊壁溃疡。

其他辅助特征包括局灶性灌注缺损,代表坏死区域。

然而,由于侵袭性坏死/炎症过程可能导致神经支配丧失,因此超声检查中并不总是能看到墨菲征。
您需要登录后才可以回帖 登录 | 注册
Copyright © 2011-2026 东莞市珍屯医疗科技有限公司Powered by zhentun.com
返回顶部