找回密码
 注册

胆石性肠梗阻

作者:大江 | 时间:2025-12-23 16:03:46 | 阅读:60| 显示全部楼层
临床表现

呕吐物呈粪样。糖尿病史。白细胞计数 13.2,C反应蛋白 183 mg/L。

患者资料

年龄:65岁

性别:女

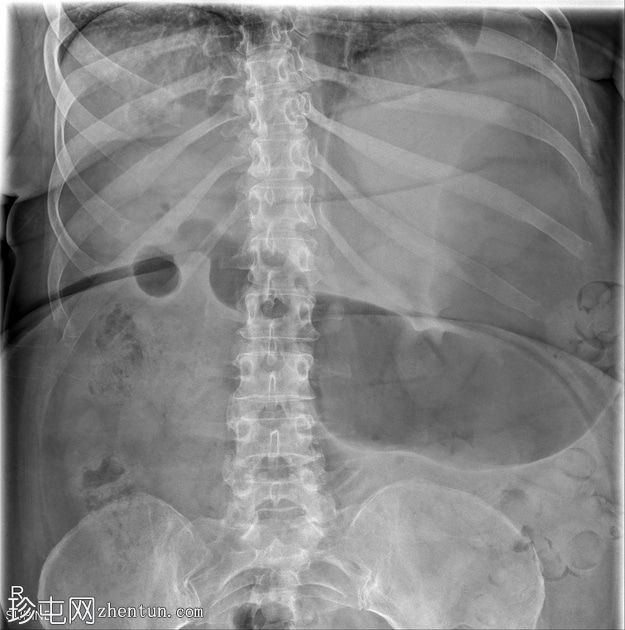
X线片
1.jpg
胃部因气体和液体而膨胀

小气囊突出于幽门外侧

圆形充满气体的脏器 - 因此不依赖胃部

小肠袢扩张

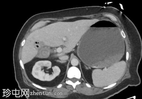
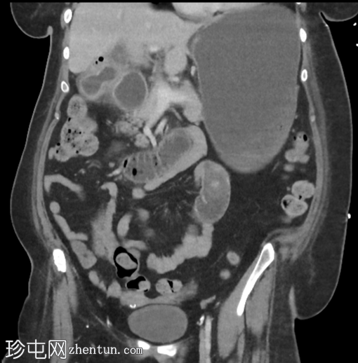
CT
2.png
轴位增强扫描(门静脉期)
3.png
冠状位增强扫描(门静脉期)
4.png
矢状位增强扫描(门静脉期)

胆结石引起的高度小肠梗阻(胆结石性肠麻痹)

胆结石已侵蚀穿过胆囊壁进入十二指肠,形成胆囊十二指肠瘘

胆囊壁增厚,胆囊周围脂肪浸润,符合并发胆囊炎的影像学表现。胆囊窝内可见游离气体,但其他部位未见游离气体

胆囊颈或胆囊管内嵌顿胆结石

偶然发现的肠旋转不全

病例讨论

胆石性肠梗阻伴胆囊十二指肠瘘的X线和CT影像特征。
您需要登录后才可以回帖 登录 | 注册
Copyright © 2011-2026 东莞市珍屯医疗科技有限公司Powered by zhentun.com
返回顶部