找回密码
 注册

急性化脓性肝脓肿

作者:大江 | 时间:2025-12-23 16:10:57 | 阅读:77| 显示全部楼层
病例介绍

患者近期行胆囊切除术及胆总管支架置入术,现主诉右上腹疼痛、发热及呕吐。

患者资料

年龄:40岁

性别:男

CT
1.png
定位扫描

轴位
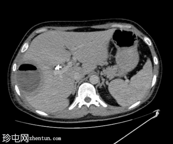
2.png
平扫

轴位增强扫描
3.png
动脉期

轴位增强扫描
4.png
门静脉期

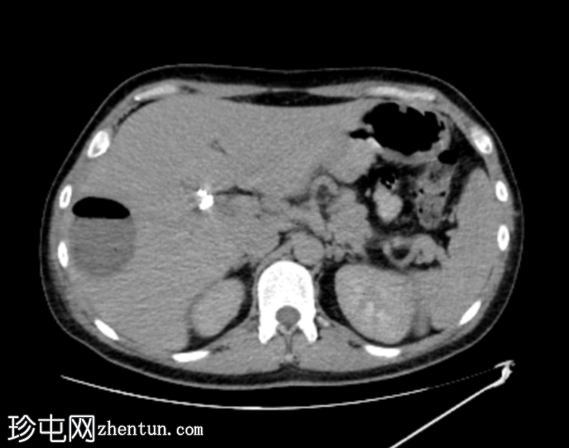
轴位增强扫描
5.png
门静脉期
6.png
轴位增强扫描

延迟期
7.png
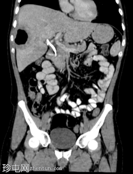
冠状位增强扫描

门静脉期

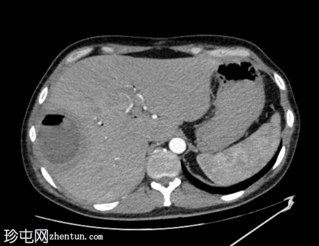
平扫图像显示胆囊切除夹、胆道积气、胆总管支架及右肝叶VIII段囊性病变伴气液平面。

增强扫描图像显示囊肿边缘强化,周围可见晕环,呈双靶征。

病例讨论

该患者近期行胆囊切除术及胆总管支架置入术,近期主诉右上腹疼痛及发热。影像学表现符合医源性化脓性肝脓肿介入治疗后的典型特征,右肝叶囊性病变可见管腔内气体和气液平面,增强扫描后边缘强化,并可见经典的双靶征。患者接受了超声引导下经皮穿刺引流术治疗。遗憾的是,培养结果尚未公布。

肝脓肿的病因包括:

经门静脉或肝动脉血行播散的胃肠道感染(播散性脓毒症);

胆道感染,胆管阻塞(包括结石或狭窄等各种病因)是其易发因素(胆管炎);

医源性:胆道支架置入术后及胆肠吻合术后;

感染通过连续性途径扩散,例如胆囊炎引起的肝脓肿。

典型的影像学特征包括:

囊性病变,伴或不伴管腔内气体和气液平面。

“双靶征”表现为:中央低密度病灶(充满液体)周围环绕着高密度内环和低密度外环。

整个病灶周围可见节段性或外周性短暂性灌注障碍。

鉴别诊断:肝阿米巴脓肿,伴有结肠受累支持此诊断的可能性。
您需要登录后才可以回帖 登录 | 注册
Copyright © 2011-2026 东莞市珍屯医疗科技有限公司Powered by zhentun.com
返回顶部