找回密码
 注册

结肠憩室炎伴活动性憩室出血

作者:大江 | 时间:2025-12-23 16:28:31 | 阅读:87| 显示全部楼层
临床表现

左侧肋下区疼痛伴下消化道出血。

患者资料

年龄:65岁

性别:女

CT
1.png
轴位

平扫
2.png
轴位增强扫描

动脉期
3.png
轴位增强扫描
门静脉期
4.png
轴位增强扫描

延迟期
5.png
冠状位

平扫
6.png
冠状位增强扫描

动脉期
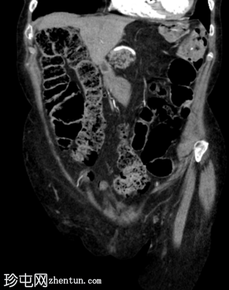
7.jpeg
矢状位增强扫描

动脉期

平扫图像显示左侧结肠脾曲处可见小憩室,伴结肠周围脂肪间隙条索状改变,提示急性结肠憩室炎。

动脉早期可见造影剂外渗,冠状位和矢状位最大强度投影(MIP)图像也可见,位于憩室炎同一部位,符合活动性出血表现。

随后的门静脉期和延迟期图像显示造影剂在结肠腔内积聚。

胆囊切除术夹。

子宫切除术和卵巢切除术。

左侧股骨内固定术。

带注释的图像
8.png
病例讨论

本病例展示了结肠憩室病的两种并发症:急性结肠憩室炎和下消化道出血。

本病例还展示了使用消化道出血CT扫描方案的重要性,该方案包括非增强期和不使用口服造影剂,以便在早期动脉期清晰识别活动性造影剂外渗(活动性出血)的部位,正如本病例所示。

肠腔内造影剂外渗是活动性出血的标志,通常表现为增强血管的衰减,并且其表现会随时间变化,正如本病例所示,通常从动脉期到门静脉期,出血量增加并向远端延伸。

憩室出血是成人下消化道出血的第二大常见原因,仅次于血管发育不良。

憩室出血通常会自行停止,而选择性肠系膜血管造影和栓塞术可以安全地治疗大量或持续性下消化道出血。
您需要登录后才可以回帖 登录 | 注册
Copyright © 2011-2026 东莞市珍屯医疗科技有限公司Powered by zhentun.com
返回顶部