找回密码
 注册

结肠憩室炎伴局部穿孔

作者:大江 | 时间:2025-12-23 16:32:06 | 阅读:91| 显示全部楼层
就诊情况

左髂骨疼痛

患者资料

年龄:60岁

性别:男

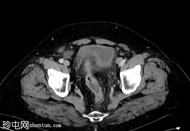
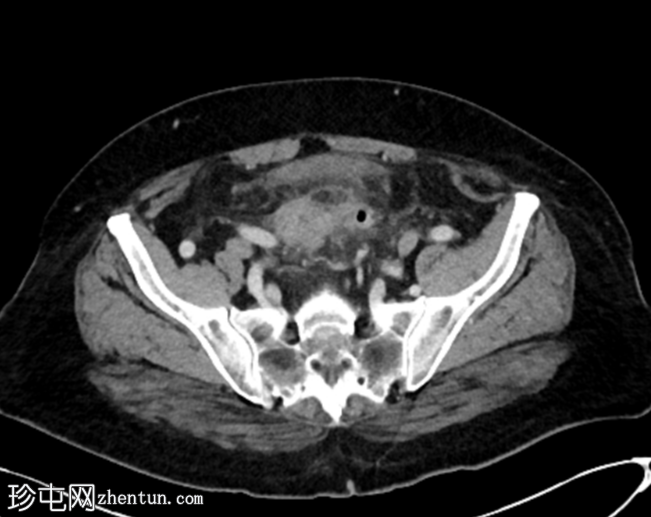
CT
轴位增强扫描(门静脉期)
1.png
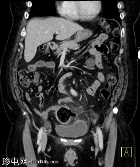
冠状位增强扫描(门静脉期)
2.png
矢状位增强扫描(门静脉期)
3.jpg
多发性乙状结肠憩室。

乙状结肠壁增厚,伴结肠周围脂肪条索影,左侧壁局部穿孔。未见肠外脓肿、腹水或气腹,提示IA期复杂性急性憩室炎。

脂肪肝。

胆囊切除术夹。

双侧肾盂周围及皮质囊肿,左侧较大。

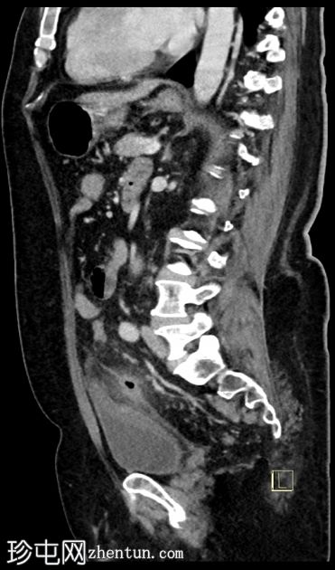
抗生素治疗后1个月随访

CT
轴位增强扫描(门静脉期)
4.png
冠状位增强扫描(门静脉期)
5.png
矢状位增强扫描(门静脉期)
6.jpg
先前观察到的乙状结肠壁增厚和结肠周围脂肪间隙模糊进展,并新发现左侧结肠周围小软组织密度影(蜂窝织炎),大小为3.0 x 2.0 cm,可见中央气腔。该蜂窝织炎位于先前观察到的左侧壁缺损附近。

膀胱顶部反应性壁增厚。

未见气腹、腹水或腹腔内脓肿。

病例讨论

该病例表现出复杂性急性乙状结肠憩室炎的典型特征,伴有乙状结肠局部穿孔,提示为1A期复杂性急性憩室炎。患者接受了广谱抗生素保守治疗,1个月后因临床症状加重前来复诊。复查CT显示乙状结肠憩室炎恶化,出现结肠周围小蜂窝织炎,内含少量气腔。但未见弥漫性腹膜炎的征象,如腹水、气腹或弥漫性腹膜/大网膜混浊。之后患者失访。
您需要登录后才可以回帖 登录 | 注册
Copyright © 2011-2026 东莞市珍屯医疗科技有限公司Powered by zhentun.com
返回顶部