找回密码
 注册

脾脏表皮样囊肿

作者:大江 | 时间:2025-12-23 16:34:25 | 阅读:82| 显示全部楼层
临床表现

腹部肿块

患者资料

年龄:15岁

性别:女

CT
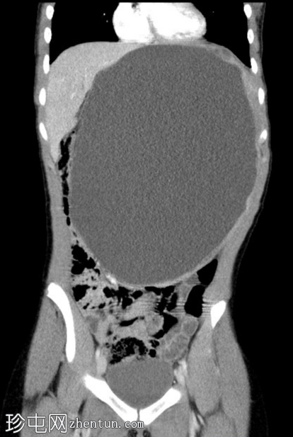
冠状位增强扫描(门静脉期)
1.png
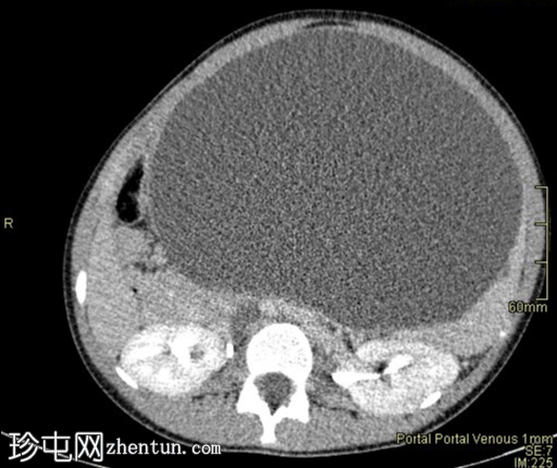
轴位增强扫描(门静脉期)
2.png
脾脏内可见巨大、边界清晰的囊肿,囊肿内有多个较小的囊肿。脾脏被拉伸并覆盖于囊肿之上,形成“爪状征”。囊肿大小为26 cm x 20 cm x 16 cm。囊肿内有单分隔,下壁可见多处钙化。

无实性成分。无子囊肿。囊肿将胃向上推移,将肝脏向右推移,并将肠道推向盆腔。腹主动脉旁可见亚厘米级淋巴结。其他实质性器官均正常。无腹水。骨骼结构正常。

病例讨论

一名15岁患者因腹部肿块增大伴钝痛、体重减轻、早饱和恶心就诊于急诊科¹。

就诊时,上述症状已持续数月。患者自述三年前曾有外伤史,当时她跌倒在坚硬的水泥地上,腹部着地。

体格检查发现患者左侧腹部有一大小不一、质地较硬、表面光滑的肿块。触诊无压痛,且固定不动。其余系统检查未见异常。血液学检查结果显示白细胞减少和正细胞性贫血;但生化指标均在正常范围内。

为进一步明确腹部肿块的性质,医生安排了腹部CT检查¹。结果显示,脾脏起源处有一个边界清晰的巨大囊肿,囊肿内包含多个较小的囊肿。该囊肿大小为26 cm x 20 cm x 16 cm。

囊肿下部可见单隔膜和多发钙化灶。无实性成分。无子囊肿。囊肿将胃向上推移,将肝脏向右推移,并将肠道推向盆腔。主动脉旁可见亚厘米级淋巴结。其他所有实质性器官均正常。无腹水。骨骼结构正常。

在等待棘球蚴病和阿米巴病血清学检查结果期间,患者已开始预防性抗寄生虫治疗。溶组织内阿米巴血清学检查结果呈阳性,比值为4.7。

经多学科团队讨论,鉴于囊肿体积较大且存在穿孔或出血风险,决定行脾切除术。术前已接种相应的疫苗。由于脾脏体积较大,故行开腹脾切除术。术中脾切除过程顺利,无污染。

患者术后情况稳定,返回病房,术后第三天顺利出院,未出现不良事件。组织学检查证实为脾脏表皮样囊肿,未见包虫囊肿、畸胎瘤或肿瘤的迹象。
您需要登录后才可以回帖 登录 | 注册
Copyright © 2011-2026 东莞市珍屯医疗科技有限公司Powered by zhentun.com
返回顶部