找回密码
 注册

脾脏损伤 - IV级

作者:大江 | 时间:2025-12-23 16:36:28 | 阅读:75| 显示全部楼层
临床表现

腹部外伤

患者资料

年龄:16岁

性别:女

CT
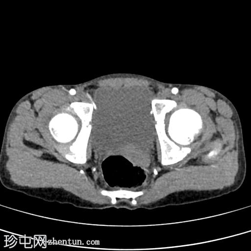
增强扫描(动脉期)
1.jpg
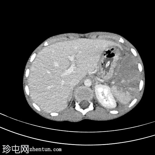
轴位增强扫描(门静脉期)
2.jpg
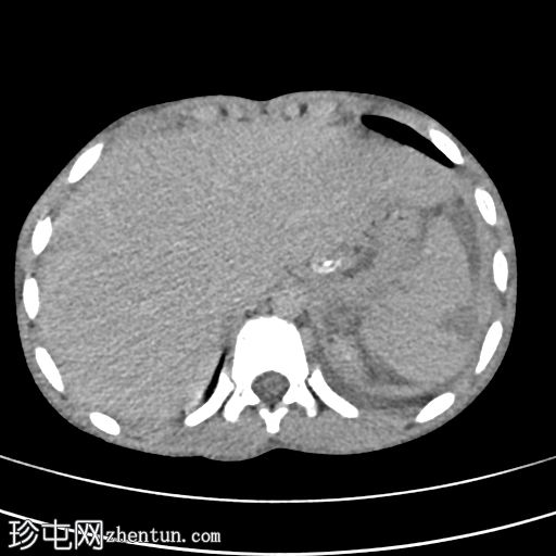
轴位增强扫描(延迟期)
3.jpg
脾脏显示弥漫性实质损伤(根据美国创伤外科协会(AAST)脾脏损伤分级标准,为IV级损伤)。脾脏实质内可见一灶性造影剂聚集,提示脾内出血而非脾外出血。

腹腔内可见轻度高密度液体,符合血腹表现。

左侧可见轻至中度胸腔积液。

影像学表现符合IV级脾脏损伤。

病例讨论

脾脏损伤多发生于腹部钝性外伤后,有时也发生于穿透性外伤后。患者可能表现为左上腹剧烈疼痛,有时疼痛放射至左肩。 CT扫描是评估脾脏损伤的首选方法。在门静脉期评估脾实质时,动脉期扫描可用于检测血管损伤,例如假性动脉瘤和动静脉瘘。

根据美国创伤外科协会(AAST)脾脏损伤分级标准,脾脏损伤分为5级。本病例属于IV级脾脏损伤,表现为脾内出血,无明显的脾外出血。手术是此类损伤的首选治疗方法,但遗憾的是,目前尚无该患者的随访资料。
您需要登录后才可以回帖 登录 | 注册
Copyright © 2011-2026 东莞市珍屯医疗科技有限公司Powered by zhentun.com
返回顶部