找回密码
 注册

医源性食管损伤

作者:大江 | 时间:2025-12-23 16:38:41 | 阅读:83| 显示全部楼层
临床表现

患者在内镜通过远端食管狭窄处时出现胸痛和晕厥。既往有反流性食管炎和消化性溃疡病史。

患者资料

年龄:60岁

性别:女

定位片

X线片
1.jpg
双侧肋膈角、肝、脾、肾及结肠旁沟周围可见游离气体。

术后

CT
2.png
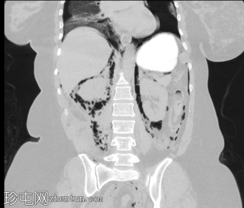
冠状位

3.jpg
轴位
肺窗
4.jpg
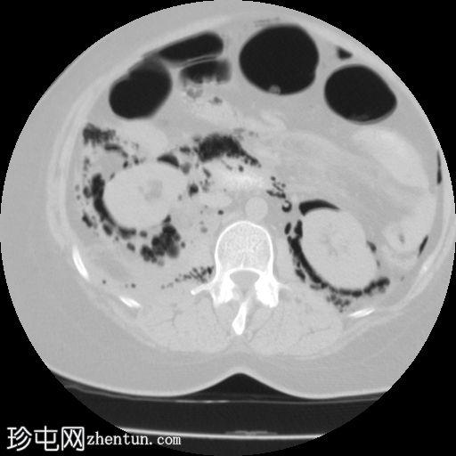
轴位
口服增强
5.jpg
矢状位
口服增强

食管下三分之一处管壁均匀增厚,可见气泡(穿孔起始部位),纵隔及双侧胸膜腔内可见游离气体,提示食管穿孔。

十二指肠内可见造影剂早期渗漏至十二指肠旁间隙(第二个穿孔部位),同时主动脉旁、结肠旁、肾周及膈下区域可见游离气体,提示十二指肠穿孔。

病例讨论

CT扫描提示医源性食管损伤及十二指肠穿孔,导致大量气胸和气腹。

患者在CT检查台上再次晕倒,颈部及上胸部出现明显的皮下气肿。随即行急诊胸段食管修补术及剖腹探查术以修补十二指肠穿孔。尽管采取了这些措施,患者术后在重症监护室病情仍持续恶化,最终死亡。

穿孔的原因被认为是食管狭窄处通过困难以及十二指肠溃疡壁脆弱。

钡餐检查是显示食管狭窄的一种有用的替代检查方法。
您需要登录后才可以回帖 登录 | 注册
Copyright © 2011-2026 东莞市珍屯医疗科技有限公司Powered by zhentun.com
返回顶部