找回密码
 注册

盲肠血管发育不良

作者:大江 | 时间:2025-12-23 16:43:57 | 阅读:60| 显示全部楼层
病例介绍

本次检查旨在探究贫血病因。患者入院是为了进行一项与贫血无关的预定手术。

患者资料

年龄:65岁

性别:男

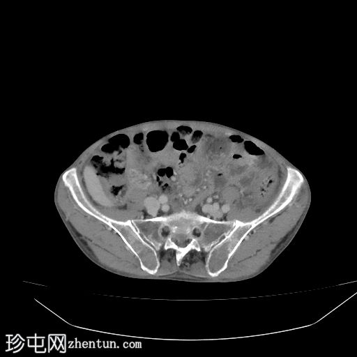
CT
1.jpg
轴位

平扫
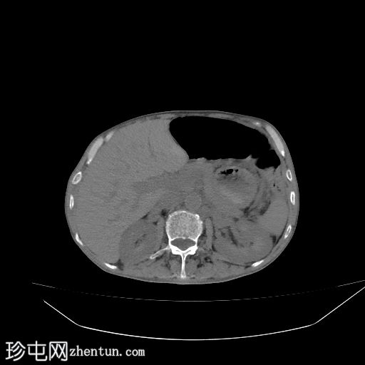
2.jpg
轴位增强扫描

动脉期
3.jpg
轴位增强扫描
门静脉期
4.jpeg
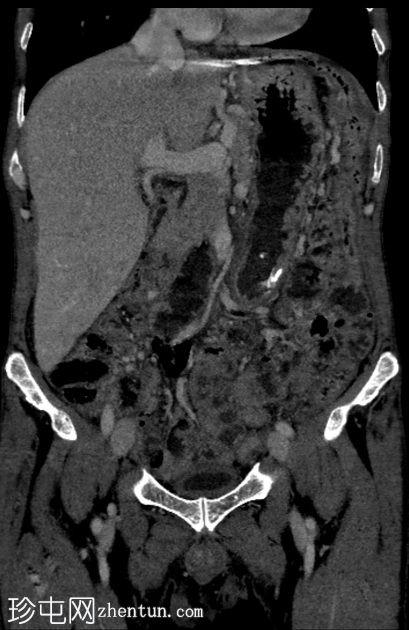
冠状位

冠状位增强扫描
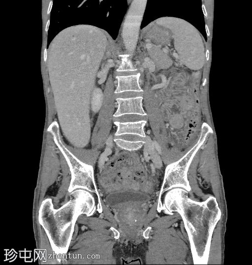
5.jpg
门静脉期

冠状位增强扫描
6.jpg
门静脉期

冠状位增强扫描

盲肠内壁可见多条明显的血管通道,并可见局灶性强化。

动脉期可见一条早期充盈的静脉。静脉期可更清晰地显示扩张的引流静脉。未见活动性出血。

结肠镜检查报告

图示
7.jpg
结肠镜检查证实存在小型盲肠动静脉畸形(AVM)。

病例讨论

CT血管造影用于下消化道出血的诊断,血管畸形是其重要的鉴别诊断之一。

多期CT扫描中血管发育不良的典型表现是血管簇或血管缠结。

导管血管造影仍是诊断的金标准,通常显示一条缓慢充盈、扩张且迂曲的黏膜下静脉。

无论采用哪种方法,均可通过造影剂渗出并积聚在盲肠腔内来识别活动性出血。
您需要登录后才可以回帖 登录 | 注册
Copyright © 2011-2026 东莞市珍屯医疗科技有限公司Powered by zhentun.com
返回顶部