找回密码
 注册

脾脏包虫囊肿

作者:大江 | 时间:2025-12-23 16:48:01 | 阅读:65| 显示全部楼层
临床表现

腹痛。

患者资料

年龄:50岁

性别:女

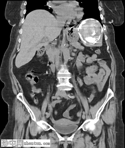
CT
1.png
轴位

平扫
2.png
冠状位

平扫
3.png
矢状位

平扫
4.jpg
脾脏内可见一边界清晰的低密度囊性病变,可见边缘及内部钙化。

胆结石。

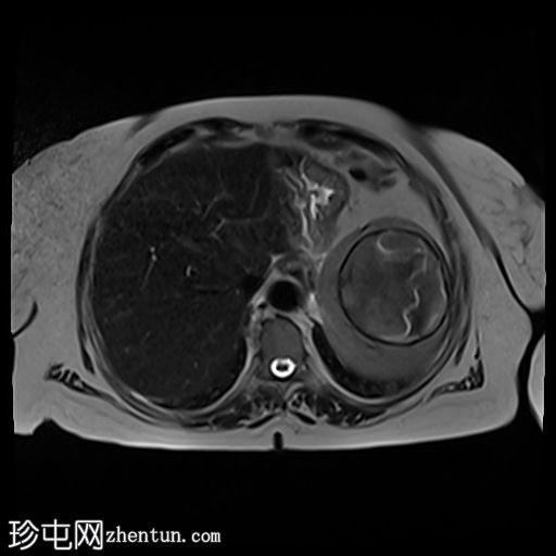
MRI
5.jpg
轴位
T2加权像
6.jpg
轴位
STIR序列
冠状位
T2加权像

脾脏内可见一边界清晰的病变,T2加权像呈中等信号强度,边缘低信号提示钙化。病变内可见漂浮膜,呈棘球蚴囊肿特征性的蛇形征。

胆结石。

病例讨论

本病例展示了一例脾脏棘球蚴囊肿,可见边缘及内部钙化。

超声检查结果(未显示):

超声检查显示脾脏囊性病变,伴有边缘和内部钙化,符合Gharbi分级中的5期(钙化或部分钙化)非活动性囊肿。

蛇形征是棘球蚴(包虫)感染的特征性放射学表现。它指的是在复杂的包虫囊肿内观察到的离散的曲线状结构。这些结构代表内囊的层状膜从外囊壁脱落,形成囊内漂浮的膜状物,外观类似蛇。
您需要登录后才可以回帖 登录 | 注册
Copyright © 2011-2026 东莞市珍屯医疗科技有限公司Powered by zhentun.com
返回顶部