找回密码
 注册

急性坏死性胰腺炎

作者:大江 | 时间:2025-12-23 17:10:00 | 阅读:77| 显示全部楼层
临床表现

患者腹痛呕吐4天。入院时,诊断为脓毒症。

患者资料

年龄:90岁

性别:女

CT
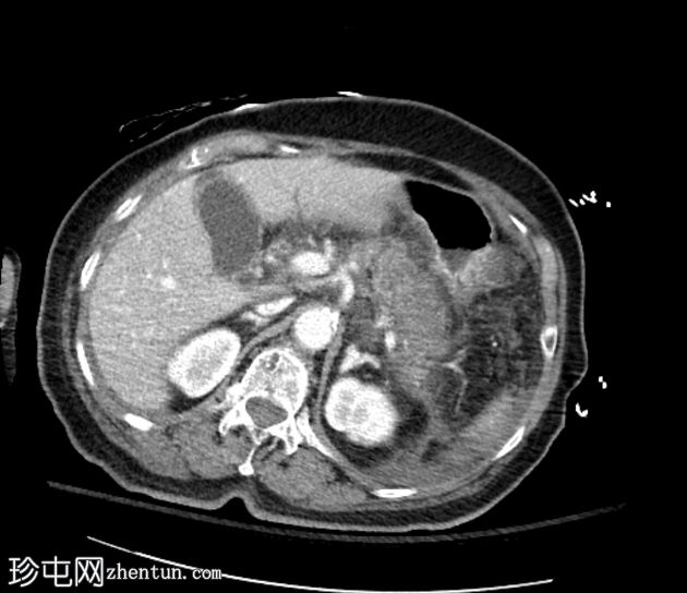
轴位增强扫描(门静脉期)
1.jpeg
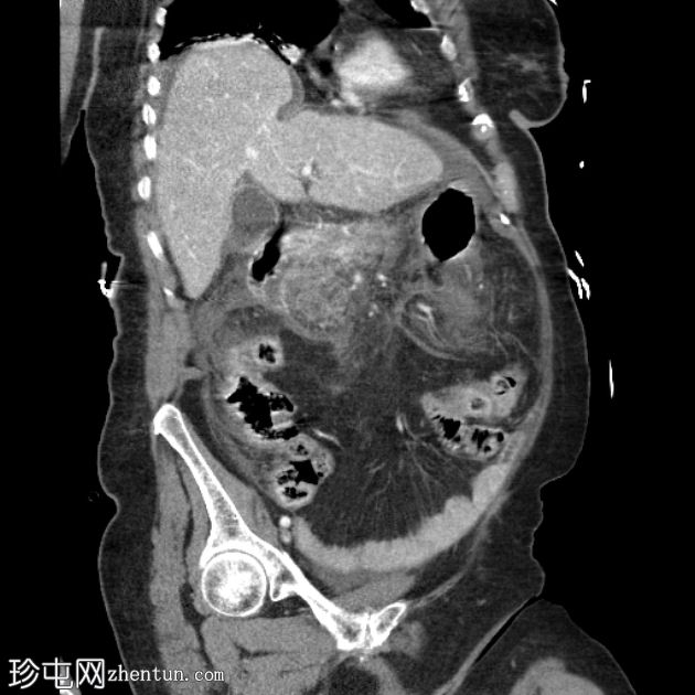
冠状位增强扫描(门静脉期)
2.jpeg
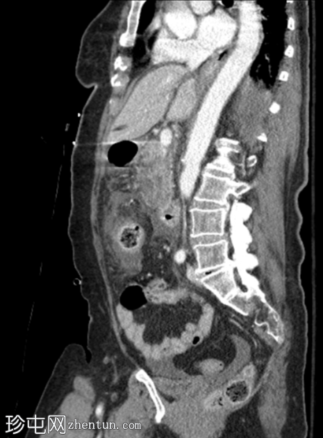
矢状位增强扫描(门静脉期)
3.png
胰腺弥漫性肿大,实质呈不均匀强化,胰头、胰体远端和胰尾可见大片无强化坏死区域(坏死胰腺实质>50%)。胰周脂肪间隙模糊,胰周、肠系膜根部、左右肾前间隙可见多发性急性坏死灶(ANC)。

门静脉、脾静脉和肠系膜静脉通畅。未见血管并发症。

肝脏大小适中,实质呈均匀衰减。

轻度腹腔和盆腔腹水,伴大网膜和腹膜增厚及模糊影。

胃、十二指肠、小肠和大肠壁增厚,可能为反应性改变。

胆囊和胆总管壁增厚及强化,可能为反应性改变。

子宫切除术和卵巢切除术。

病例讨论

该病例表现为急性坏死性胰腺炎,伴大面积无强化实质坏死(>50%胰腺实质),以及急性胰周坏死积液(ANC持续时间<4周)。Balthazar评分E级,胰腺坏死>50%,CT严重程度指数10。胰酶升高确诊。患者紧急入住ICU。
您需要登录后才可以回帖 登录 | 注册
Copyright © 2011-2026 东莞市珍屯医疗科技有限公司Powered by zhentun.com
返回顶部