找回密码
 注册

胰腺浆液性囊腺瘤

作者:大江 | 时间:2025-12-23 17:16:38 | 阅读:84| 显示全部楼层
临床表现

腹部隐痛。实验室检查结果正常。

患者资料

年龄:60岁

性别:女

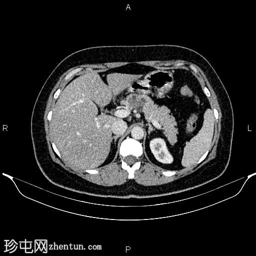
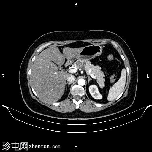
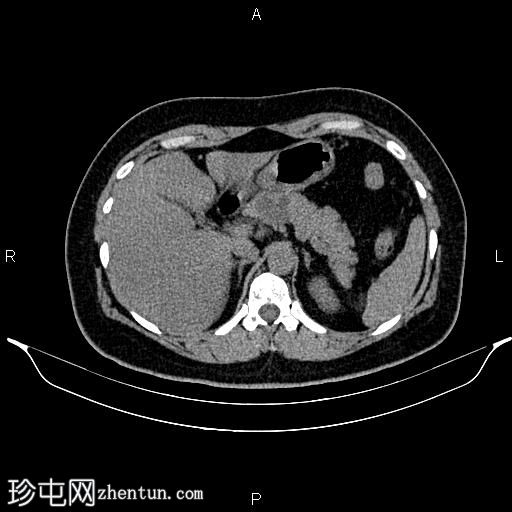
CT
轴位

平扫
1.jpg
轴位增强扫描

动脉期
2.jpg
轴位增强扫描

门静脉期
3.jpg
轴位增强扫描

延迟期
4.jpg
胰体近端可见一大小为32 × 27 mm的分叶状微囊性肿块,内部可见强化分隔,无明显钙化。胰腺其余部分未见异常,胰管未见扩张。

肝脏密度值低于脾脏,提示脂肪肝。

病例讨论

患者接受了内镜超声及细针穿刺活检,病理检查确诊为胰腺浆液性囊腺瘤,这是一种罕见的良性囊性胰腺肿瘤,多见于中老年女性患者。

影像学上,胰腺浆液性囊腺瘤通常表现为胰头多囊性、分叶状肿块,形似一串葡萄。约20%的病例可见特征性的强化中央瘢痕,该瘢痕可伴有星状钙化。

胰腺导管内乳头状黏液性肿瘤(IPMN)也应纳入鉴别诊断,尽管后者常与胰管相通。

患者应密切观察并定期进行影像学随访。
您需要登录后才可以回帖 登录 | 注册
Copyright © 2011-2026 东莞市珍屯医疗科技有限公司Powered by zhentun.com
返回顶部