找回密码
 注册

结肠造口术和造口假瘤

作者:大江 | 时间:2025-12-23 17:18:46 | 阅读:77| 显示全部楼层
就诊情况

患者前来评估结肠造口术逆转前的准备情况。

患者资料

年龄:55岁

性别:女

X线片
1.jpg
正位片
2.jpg
正位片

腹部X线片显示左侧腹部上方有一处边界不清的软性密度影。这代表已知的结肠造口和左侧腹部造口。

进一步发现非解剖性透亮区。这代表结肠造口袋。

可见少量粪便潴留。

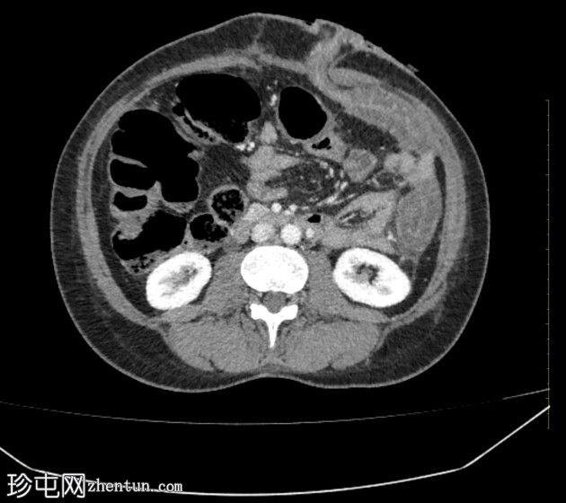
CT
轴位增强扫描(C+)门静脉期

正位片
3.jpeg
SSD

正位片
4.jpeg
SST
5.jpeg
PACS系统回顾既往腹部和盆腔CT的代表性图像证实了结肠造口和左侧腹部造口的存在,这解释了腹部X线片上发现的假瘤样改变。在三维皮肤表面图像上也可以看到结肠造口袋的轮廓,这解释了腹部X光片上出现的非解剖性透亮区。

这张有限的代表性轴位CT图像显示存在持续性结肠炎。

病例讨论

本病例与rID 221732病例相关,但对腹部假瘤的解释不同。

在这种情况下,如果没有结肠造口史,腹部X光片可能难以解读。这种不寻常的局限性不透光区可能是伪影,如果没有侧位片或进一步的CT成像,就无法确定其起源于腹腔内还是腹腔外。

结肠造口和造口是导致腹部X光片上出现假瘤样表现的原因。
您需要登录后才可以回帖 登录 | 注册
Copyright © 2011-2026 东莞市珍屯医疗科技有限公司Powered by zhentun.com
返回顶部