找回密码
 注册

急性阑尾炎破裂

作者:大江 | 时间:2025-12-23 17:20:40 | 阅读:80| 显示全部楼层
临床表现

发热和右下腹疼痛

患者资料

年龄:11岁

性别:男

CT
轴位增强扫描(门静脉期)
1.png
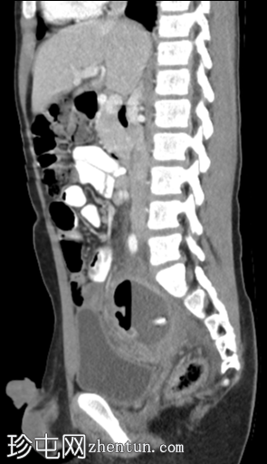
矢状位增强扫描(门静脉期)
2.png
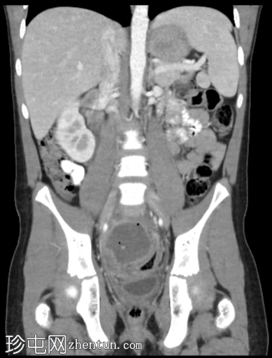
冠状位增强扫描(门静脉期)
3.png
右下腹可见强化且环周增厚的阑尾(轴位、矢状位、冠状位),周围阑尾周围脂肪组织呈条索状改变。阑尾尖端与一个复杂的厚壁积液相通,积液内可见气液平面。积液内可见下垂的钙化灶。积液导致增厚的直肠乙状结肠向左侧移位。

病例讨论

本例为阑尾穿孔继发盆腔脓肿。

患儿父母同意行腹腔镜阑尾切除术和脓肿引流术。术中发现大量小肠和大肠粘连于盆腔侧壁,影像学显示脓肿位于该处。逐步将粘连物从右侧盆腔侧壁分离,直至进入脓肿腔。吸出脓肿腔内容物后,在脓肿腔内发现阑尾粪石。阑尾与右侧盆腔侧壁粘连严重。阑尾发生断裂,部分组织留在盆腔内。

急性阑尾炎最常见的原因是阑尾腔阻塞,由此引发一系列病理事件。阻塞部位上游持续分泌黏液,导致腔内压力逐渐升高,损害动脉供血。随后发生的缺血最初发生在肠系膜对侧缘,加之细菌过度生长,使阑尾壁易发生坏死、坏疽和穿孔。管腔淤滞会促进细菌过度繁殖并产生气体,细菌很容易侵入缺血的阑尾壁。
您需要登录后才可以回帖 登录 | 注册
Copyright © 2011-2026 东莞市珍屯医疗科技有限公司Powered by zhentun.com
返回顶部