找回密码
 注册

阻塞性闭孔疝

作者:大江 | 时间:2025-12-23 19:00:37 | 阅读:92| 显示全部楼层
就诊情况

体重下降。怀疑腹部恶性肿瘤

患者资料

年龄:75岁

性别:女

初始影像

CT
轴位增强扫描(门静脉期)
1.jpg
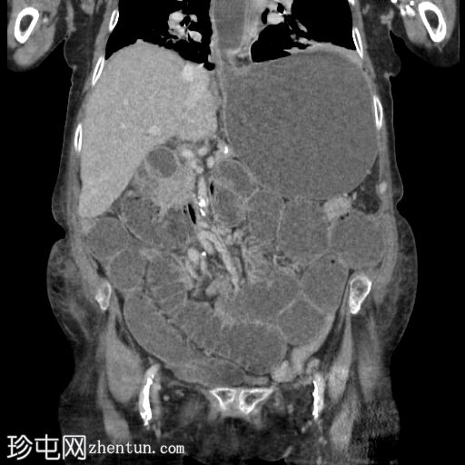
冠状位增强扫描(门静脉期)
2.jpg
矢状位增强扫描(门静脉期)
3.jpg
可见一大型上腹疝,内含部分结肠,矢状位图像亦可见。

另可见一小型右侧闭孔疝,内含脂肪。冠状位图像亦可见。

未发现胸腹部恶性肿瘤。

三个月后

CT
轴位增强扫描(门静脉期)
4.jpg
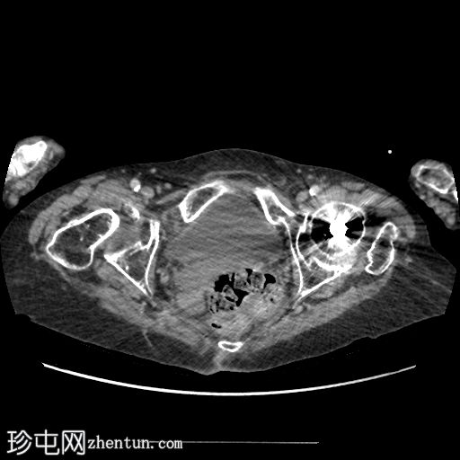
冠状位增强扫描(门静脉期)
5.jpg
矢状位增强扫描(门静脉期)
6.jpg
三个月后,患者因急性腹痛伴呕吐就诊。

影像表现为小肠梗阻,移行区位于右侧闭孔疝处。疝囊内有少量积液,提示缺血性改变。

无气腹。

病例讨论

这是一个罕见的闭孔疝并发肠梗阻的典型病例。
您需要登录后才可以回帖 登录 | 注册
Copyright © 2011-2026 东莞市珍屯医疗科技有限公司Powered by zhentun.com
返回顶部