找回密码
 注册

网膜垂体炎

作者:大江 | 时间:2025-12-23 19:10:53 | 阅读:95| 显示全部楼层
临床表现

左下腹疼痛伴呕吐,白细胞增多。憩室炎?

患者资料

年龄:35岁

性别:男

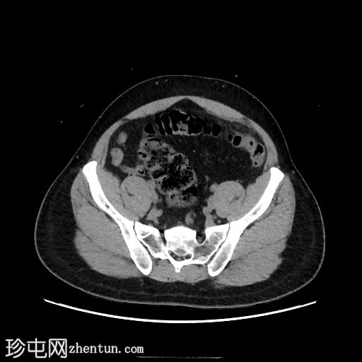
CT
1.jpg
轴位

平扫
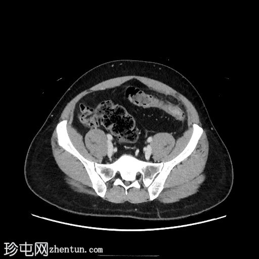
2.jpg
轴位增强扫描(门静脉期)
3.jpg
冠状位增强扫描(门静脉期)
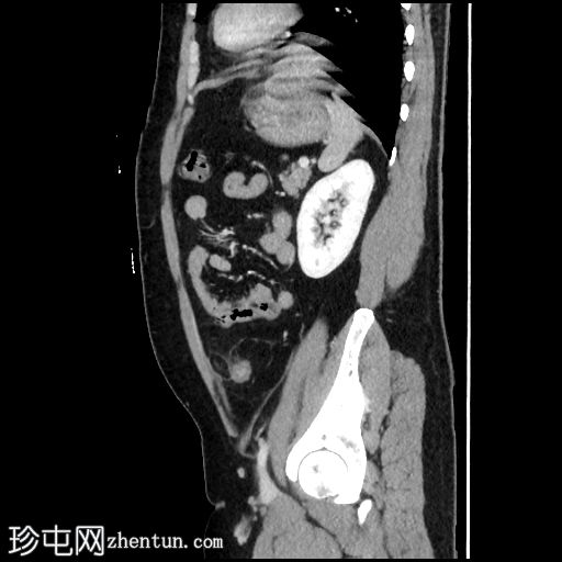
4.jpg
矢状位增强扫描(门静脉期)

乙状结肠和远端降结肠可见轻度环周壁增厚

结肠周围可见卵圆形脂肪密度病变,周围环绕软组织密度环,并可见脂肪条索状改变,符合大网膜垂炎的典型表现

未见憩室炎证据

病例讨论

大网膜垂炎是一种罕见的良性自限性疾病,可引起局限性、非游走性腹痛和反跳痛,通常位于下腹部,临床表现与憩室炎或阑尾炎相似。大网膜垂扭转或自发性血栓形成可导致缺血或梗死,并伴有周围炎症。CT 扫描显示,病变表现为 1-4 cm 的卵圆形脂肪性结肠旁病灶,周围环绕着高密度环状征,有时可见中央血栓形成静脉。

该病通常发生于伴有内脏肥胖的中年人,这被认为是某些病例系列中男性患者较多的原因。

大网膜垂炎的疼痛与急性憩室炎难以区分,两者均表现为类似的局部压痛和炎症,因此 CT 扫描在避免不必要的抗生素或手术方面具有重要价值。大网膜垂炎与憩室炎或阑尾炎同时发生的情况较为罕见。
您需要登录后才可以回帖 登录 | 注册
Copyright © 2011-2026 东莞市珍屯医疗科技有限公司Powered by zhentun.com
返回顶部