找回密码
 注册

血管肌脂肪瘤破裂

作者:大江 | 时间:2025-12-24 16:08:23 | 阅读:88| 显示全部楼层
临床表现

急性右侧腰痛伴休克。

患者资料

年龄:30岁

性别:女

CT
轴位

平扫
1.jpg
轴位增强扫描(门静脉期)

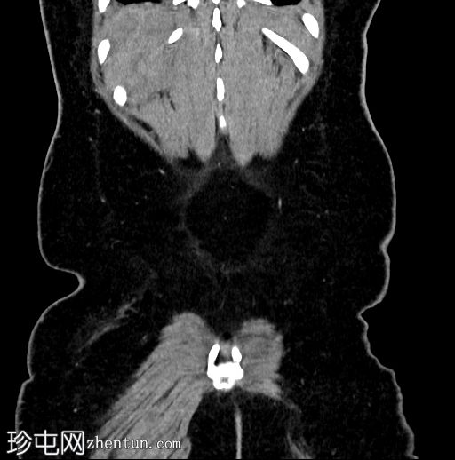
冠状位
2.jpg
平扫
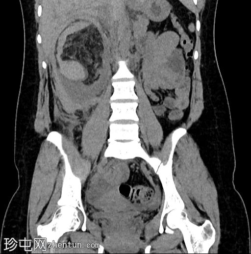
3.jpg
冠状位增强扫描(门静脉期)
4.jpg
右肾周间隙可见高密度影(HU=65),经右侧结肠旁沟延伸至肾盂。

右肾上极区可见一较大、边界清晰、以脂肪密度为主、伴有实性强化成分的病灶,延伸至肾盂。

该病灶延伸至肾盂区域并推移肾盏;但未见侵犯或肾积水。

符合血管平滑肌脂肪瘤破裂的特征。

病例讨论

肾血管平滑肌脂肪瘤(AML)是一种良性肾脏肿瘤,可散发性发生,也可与神经皮肤综合征(最常见的是结节性硬化症)相关。本例患者既往无结节性硬化症病史。

AML 可选择性地进行栓塞治疗和/或部分肾切除术。然而,像本例这样出现腹膜后出血的病变,通常需要紧急血管栓塞术以挽救生命

无随访信息。
您需要登录后才可以回帖 登录 | 注册
Copyright © 2011-2026 东莞市珍屯医疗科技有限公司Powered by zhentun.com
返回顶部