首页
Portal
订阅
产品资料
医疗器械
外科训练
医学论坛
BBS
关于我们
联系我们
登录
立即登录
立即注册
其他登录
QQ
微信
搜索
搜索
本版
文章
帖子
用户
本版
文章
帖子
用户
首页
Portal
订阅
产品资料
医疗器械
外科训练
医学论坛
BBS
关于我们
联系我们
账号
自动登录
找回密码
密码
登录
注册
外科
内科
第三
第四
中医
辅助
执业
教育
专区
好友
帖子
收藏
淘帖
分享
记录
留言板
门户
导读
排行榜
设置
我的收藏
退出
珍屯医学
»
医学论坛
›
外科
›
泌尿外科
›
急性肾盂肾炎
返回列表
急性肾盂肾炎
[复制链接]
作者:
大江
|
时间:
2025-12-24 16:43:37
|
阅读:74
|
显示全部楼层
临床表现
右侧腰痛。怀疑肾结石。
患者资料
年龄:45岁
性别:女
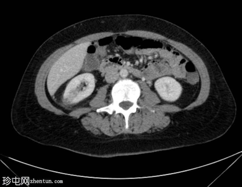
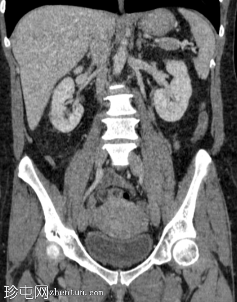
CT
轴位增强扫描(门静脉期)
轴位增强扫描(延迟期)
冠状位增强扫描(门静脉期)
右肾轴位和冠状位图像均显示肾实质下部低强化区域,伴肾周脂肪间隙模糊,符合急性肾盂肾炎的
影像
学表现。
膀胱壁轻度环周增厚及强化,可能为轻度膀胱炎。
肝脏散在少量微小囊肿。
胆囊底部局灶性腺肌瘤病。
左侧黄体囊肿。
病例讨论
急性肾盂肾炎是指由感染引起的肾实质和肾盂炎症;最常见的原因是革兰氏阴性菌引起的下尿路感染向上蔓延,或通过血源性播散。
回复
举报
返回列表
发表新帖
高级模式
B
Color
Image
Link
Quote
Code
Smilies
您需要登录后才可以回帖
登录
|
注册
大江
关注Ta
主题 17556
帖子 16642
积分 42140
此人很懒,什么也没留下。
•
轻松订阅最新动态(简易法)
•
珍屯网“股份”积分策略
•
会员注册规则说明——试行
•
您看好“外资独资办医”吗?欢迎大家投票和讨论
•
为各位医友推荐些好书!可代购
•
无排卵
•
《简明体格检查图解》┊陈清兰,郑智远编著.PDF
•
全国实践技能考试准考证打印一览表
阅读作者更多精彩帖子
热门问答
更多>
0
新月形骨折伴骨盆LC II损伤
62人围观, 发布于2026-01-29
0
三角骨骨折
58人围观, 发布于2026-01-30
0
腰骶移行椎(Castellvi 2b 型)
64人围观, 发布于2026-01-31
0
Hill-Sachs 缺陷伴 Bankart 病变
56人围观, 发布于2026-02-01